![]() |
|
| Appunti universita |
|
| Visite: 3406 | Gradito: |
Leggi anche appunti:ColedocolitiasiCOLEDOCOLITIASI Riconosce la propria genesi nella possibile formazione primitiva Streptococchi, Enterococchi e PneumococcoGli Streptococchi Gli streptococchi sono batteri Gram+, sferici o ovali, con cellule Tesi - Tiroidectomia mini-invasiva video- assistita e Tiroidectomia trans-ascellare robot- assistitaIntroduzione |
![]() |
![]() |
COLEDOCOLITIASI
Riconosce la propria genesi nella possibile formazione primitiva dei calcoli oppure può rappresentare il risultato della migrazione di calcoli formatisi nella colecisti . La possibilità che i calcoli si formino primitivamente nella via biliare primitiva è molto rara (si stima inferiore al 5%)mentre nella stragrande maggioranza dei casi si tratta di calcoli migrati dalla colecisti attraverso il dotto cistico nel corso di un episodio o, più spesso, di ripetuti episodi di colica biliare. 1
1-Fisiopatologia della coledocolitiasi
La coledocolitiasi rappresenta una tra le più frequenti complicanze della colelitiasi. Si realizza tramite il passaggio di una formazione litiasica tra dalla colecisti attraverso il dotto cistico fino alla via biliare principale dove sovente si arresta. L'ostruzione della via bilare principale comporta colestasi che determina arresto del flusso biliare con conseguente rigurgito di bilirubina ed ittero , e malassorbimento lipidico e di alcune vitamine liposolubili ( A , D, E e K). Inoltre in caso di ostruzione delle vie biliari la bile tende ad infettarsi , probabilmente ad opera di batteri provenienti dall'intestino. Infatti la coledocolitiasi rappresenta la causa di un terzo delle colangiti acute. 18 , 19

Fig 1- calcolosi della colecisti e del coledoco
Criteri e modalità di diagnosi per calcolosi del coledoco
1 Clinica
La calcolosi coledocica è caratterizzata da una triade sintomatologica : dolore, ittero e febbre.
Dolore. - Può essere a tipo colica biliare e accompagnarsi a nausea e vomito,
oppure, più frequentemente, può trattarsidi una dolenzia continua in sede epigastrica- In un ristretto numero di casi il dolore può mancare.
Ittero. - In genere dopo un periodo più o meno lungo di disturbi dispeptici o dolorosi, oppure in seguito ad una colica tipica, compare improvvisamente un ittero che si accompagna a prurito, feci ipocoliche o, molto più raramente, acoliche, urine ipercromiche. Quest'ittero è tipicamente variabile da settimana a settimana, o addirittura di giorno in giorno, in quanto l'ostruzione coledocica è dovuta, oltre che la fattore meccanico, allo spasmo ed all'edema infiammatorio. Frequentemente si tratta di un subittero che si accentua a seguito di episodi dolorosi.
Febbre.-E' dovuta alla colangite che di regola si associa in questi casi; si tratta generalmente di una febbre di tipo settico, intermittente, preceduta da brividi; più raramente gli accessi febbrili possono essere distanziati di alcuni giorni gli uni dagli altri.
Obiettivamente si potranno rilevare lesioni cutanee da grattamento, conseguenza del prurito intenso che affligge il paziente. La colecisti usualmente non è palpabile perché sclero-atrofica; la presenza di una colecisti distesa e palpabile depone infatti per una ostruzione neoplastica del coledoco terminale (segno di Courvoisier-Terrier); il fegato solitamente è lievemente aumentato di volume. Le feci sono chiare, biancastre, ricche saponi; le urine ipercromiche contengono bilirubina, Sali biliari, spesso urobilina. 7
2- Esami di laboratorio
I parametri bioumorali risultano utili, ma purtroppo i risultati non sono specifici per la diagnosi di coledoco litiasi; infatti in molti pazienti portatori di calcolosi della via biliare principale, i test di laboratorio risultano del tutto normali. Tra i parametri laboratoristici più significativi per una diagnosi di coledocolitiasi si riscontrano :
Elevata leucocitosi ( parametro non specifico che indica la sovrapposizione di un'infiammazione spesso infettiva.
Bilirubina sierica al di sopra dei 3 mg/dl. (parametro indicativo di ostruzione delle vie bilari e responsabile dell'ittero e significativamente attendibile nelle coledocolitiasi)
Fosfatasi alcalina e gamma-glutammil trans peptidasi ( pametro indicativo di stasi biliare e significativamente attendibile nelle coledocolitiasi)
Tempo di protrombina elevato ( secondario alla deplezione di vitamina K , essendo l'assorbimento di questa bile dipendente )
Transaminasi epatiche elevate ( tipiche di pazienti con coledoco litiasi complicata da colangiti e pancreatiti)
Amilasi e lipasi sieriche elevate ( presenti in coledoco litiasi complicate da pancreatiti) 20
3-Diagnostica per immagini
3.1 Diagnostica Preoperatoria
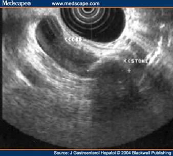
-Ecografia addominale : si tratta di una metodica di valutazione morfologica dell'albero biliare non invasiva , poco costosa e facilmente disponibile. Rappresenta il primo step nella diagnosi di pazienti con sintomi relativi al sistema biliare.Gli ultrasuoni presentano una sensibilità molto alta nell'identificazione dei calcoli della colecisti ( 97 % in situazioni di elezione e 80% in presenza di una colecistite acuta) ma presenta una sensibilità molto bassa (15-40%) nei confronti dei calcoli coledociti; questo a causa principalmente del meteorismo duodenale.Tuttavia riescono ad identificare una dilatazione dell'abero biliare con un'accuratezza del 90%.
In sintesi l'utilizzo dell'ecografia addominale per l'individuazione di coledoco litiasi garantisce un grado di precisione valutabile nel 15-20%. 21

Fig 2 esame ultrasonografico - dilatazione della via biliare principale(1)
Ultrasonografia endoscopica consiste nell'introduzione di una sonda ad ultrasuoni ad alta frequenza ( 7.5-12 Mghz) nel sistema digerente fino al duodeno sotto guida endoscopica. Un pallone riempito d'acqua è usato come finestra acustica.La sensibilità e la specificità di questa tecnica sono riportate in un range che va dall'85 sino al 100%.Questa tecnica garantisce risultali significativamente migliori rispetto all'approccio trans addominale ma risulta penalizzata sotto molteplici aspetti tra cui ricordiamo la notevole invasività , il consistente aumento dei costi e la necessità di disporre di personale altamente specializzato. 22

Fig 3 ecoendoscopia. Presenza di voluminoso calcolo nel coledoco
Tomografia computerizzata l'uso della TAC risulta efficace nell'indagine delle ostruzioni dell'albero biliare e nelle dilatazioni duttali siano esse exrta che intraepatiche.
Questa tecnica ha una sensibilità del 75-90% nella rilevazione dei calcoli della via biliare principale.Risulta utile per valutare il livello di ostruzione e fornisce informazioni morfologiche a riguardo delle strutture circostanti, particolarmente il pancreas.

Fig 4 Tac addome superiore- presenza di un voluminoso calcolo nel coledoco( freccia gialla)
Risonanza magnetica: questa tecnica fornisce immagini derivate dalle differenti proprietà magnetiche dei vari tessuti. Il gadolinio viene usato come mezzo di contrasto. E' una tecnica non invasiva con il 92% di sensibilità e il 100% di specificità e sta migliorando continuamente con l'avvento di nuove sequenze pesate specifiche per la calcolosi del coledoco.20
Colangiografia rimane il criterio standard per la rilevazione dei calcoli coledociti. Nel passato era disponibile solamente la colangiografia venosa, ma aveva una bassa sensibilità e precisione ed era gravata da effetti collaterali di tipo allergico. Con l'introduzione dell'ERCP e della colangiografia trans epatica e cutanea la suddetta metodica è stata soppiantata. L'ERCP è stata introdotta nei primi anni '70 ed è immediatamente diventata strumento diagnostico e terapeutico di scelta nei pazienti portatori di coledoco litiasi. A paziente premeditato con sedativi e anticoligernici (onde inibire reazioni vagali e ridurre tono e cinesi gastro-duodenale), si introduce per via orofaringea un apposito endoscopio a visione laterale, la cui estremità viene posizionata nella seconda porzione duodenale al davanti della papilla di Vater. Quest'ultima è incanalata ortogonalmente mediante apposita cannula inserita nei canali di servizio dell'endoscopio e orientabile dall'esterno. Si inietta quindi a bassa pressione, sotto controllo radioscopico, un MdC uro angiografico diluito, previo cateterismo, nel coledoco. Si assumono infine radiogrammi mirati, a paziente supino e prono, nelle proiezioni più idonee a documentare il sistema duttale dei dotti biliari. La percentuale di successo nell'incannulazione della via biliare principale, in mani esperte è superiore al 90%.Le complicanze, costituite da: emorragie, pancreatite acute iatrogene, colangiti, lesioni strumentali e reazioni a farmaci incidono in ragione di circa il 3% dei casi. 23
3.2-Diagnostica intraoperatoria
Colangiografia intraoperatoria - L'uso routinario della colangiografia intraoperatoria è diventata area di acceso dibattito in special modo con l'avvento della colicistectomia laparoscopica .
Gli argomenti a favore dell'uso routinario della colangiografia intraoperatoria includono una dettagliata descrizione dell'anatomia dell'albero biliare e l'individuazione di calcoli coledociti quando presenti.
Per converso molti non
la praticano ritenendola una pratica diagnostica costosa e di scarsa utilità in
quanto l'incidenza di coledoco litiasi evidenziata in interventi di routine non
è comparabile a quelli in cui la calcolosi del coledoco è suggerita dalla
clinica.La colangiografia intraoperatoria viene effettuata tramite
l'inserimento di un catetere nel dotto cistico ( previa preparazione dello
stesso) e succesiva iniezione di mezzo di contrasto uro angiografico che va a
disegnare l'intero albero bilare. Tutto ciò avviene sotto controllo
radioscopico con apparecchio portatile dotato di intensificatore di luminosità
cosicchè i radiogrammi sono sviluppati e analizzati rapidamente . In questo
modo è possibile valutare difetti di
riempimento e immagini di minus (segno indicativo di calcolosi del coledoco) ,
l'anatomia e il calibro dell'albero
biliare e il passaggio del contrasto attraverso il duodeno.Statisticamente è
stato rilevato che
La procedura può fallire per molteplici motivi:
Impossibilità di incannulare il dotto cistico
Perdita di materiale di contrasto durante l'iniezione
Bolle di aria che mimano formazioni litiasiche
Spasmo dello sfintere di Oddi 24

Fig5- esame col angiografico- notevole dilatazione della via biliare principale e immagine di minus riferibile a formazione litiasica nel coledoco
-Ultrasonografia intraoperatoria
Questa tecnica si affida all'uso di particolari sonde ad alta frequenza che sono in grado di visualizzare l'intero albero biliare.Recentemente è stato introdotto l'uso di sonde di piccolissime dimensioni in grado di effettuare indagini intraluminali. La sensibilità risulta comparabile a quella rilevata nella I.O.C. con lo svantaggio di essere operatore dipendente. 25
Coledocoscopia intraoperatoria
Questa tecnica diagnostica si basa sull'introduzione di un sottile strumento a fibre ottiche (non molto dissimile da quello usato nell'endoscopia digestiva del colon o nell'esofagogastroduodenoscopia)
nella via biliare principale . La via d'accesso al coledoco puo' essere rappresentata dal cistico oppure dalla breccia effettuata sulla parete anteriore durante la coledocotomia. Una volta inserito l'endoscopio , i calcoli possono essere visualizzati direttamente su uno schermo a cui è collegato il coledoscopio .Se lo strumento è dotato di canale operatorio , i calcoli coledocici possono essre rimossi sotto visione diretta.
3.3-Diagnosi postoperatoria
- Colangiografia tramite tubo a T
Il tubo a T viene posizionato successivamente alla esplorazione della via biliare principale per aiutare la diagnosi e il trattamento dei calcoli ritenuti.
Se all'analisi del col angiogramma non sono evidenziate ostruzioni , il tubo è clampato e lasciato in sede per sei settimane dopo le quali viene ripetuto il col angiogramma ed eventuali calcoli ritenuti trattati per via endoscopica. Calcoli ritenuti vengono individuati tramite tubo a T in 2-10 % dei pazienti dopo esplorazione della via biliare principale. 26
E.R.C.P.
Dopo la colicistectomia l'E.R.C.P. è la tecnica di scelta e trattamento per i calcoli ritenuti che non sono evidenziati alla colangiografia intraoperatoria.
Colangiografia trans epatica percutanea
Questa tecnica diagnostica è indicata in pazienti con calcoli ritenuti intraepatici o pazienti gastroresecati nei quali l'E.R.C.P. è molto difficoltosa da effettuare.
4-Terapia chirurgica
Considerando la cronolgia nell'evoluzione del trattamento della coledoco litiasi si riconoscono tre diversi momenti :
- un'era laparotomica , in cui l'accesso alle vie biliari avveniva tramite una laparotomia . Una volta raggiunta la via biliare principale poteva essere bonificata seguendo tre diverse opzioni :
- estrarre i calcoli utilizzando un catetere a cestello tipo Dormia e inserendolo attraverso il dotto cistico.
- incidere, per via trans duodenale , la papilla e successivamente introdurre il cestello tipo Dormia od altri mezzi di bonifica della via biliare principale.
- incidiere longitudinalmente la parete anteriore del coledoco e attraverso la breccia coledocica rimuovere le formazioni litiasiche con un paio di pinze ( coledocotomo)
- un'era endoscopica dove la bonifica del coledoco veniva effettuata tramite una ERCP . In questa tecnica si ha inizialmente l'introduzione di un endoscopio a visione laterale per via orale alla cieca. Esaminato lo stomaco nella sua globalità si procede nel duodeno alla ricerca della papilla di Vater.Una volta intubata la papilla si inietta m.d.c. idrosolubile ,opacizzando le vie biliari e i dotti pancreatici.A questo punto il catetere usato per il m.d.c viene sotituito con il papillotomo, che consiste in un caterere al cui centro vi è un sottile filo d'acciaio, grazie al quale si riesce ad incidere la papilla. Attraverso la papilla incisa si introduce un cestello di Dormia del tutto simile a quello usato nella tecnica open e quella laparoscopica. Complicanze che possono gravare questo trattamento sono : pancreatite acuta grave, vomito nausea, perforazioni ed emorragie. 70

Fig 6- ERCP
un 'era laparoscopica , la più attuale , in cui la vbp Può essere bonificata attraverso un accceso mini invasivo di tipo laparoscopico
La bonifica puo' avvenire seguendo tre tecniche :
1 )Bonifica trans-cistica : questa viene effettuata in presenza di un dotto cistico con dilatazione tale da permettere l'introduzione di un coledoscopio. E' opportuno ,in questi casi, una completa mobilizzazione del cistico e l'identificazione del suo passaggio nella via biliare principale. Con un catetere di Fogarty ,o con catetere da angioplastica, è possibile altresi' procedere ad una dilatazione del cistico stesso in modo da agevolare il passaggio del coledoscopio che viene introdotto attraverso un trocar . Attraverso tale strumento , con l'aiuto del catetere di Dormia è possibile procedere nell'albero biliare , verificare la presenza di calcoli ed estrarli per via trans-cistica. Un'alternativa più semplice è rappresentata dal solo passaggio attraverso il cistico con sonda di Dormia ed estrazione dei calcoli senza la loro visualizzazione attraverso il coledoscopio.La metodica transcistica risulta difficilmente applicabile nei casi in cui vi sia una inserzione bassa del cistico nella via biliare principale o presenza di calcoli nell'epatico comune , oppure quando le dimensioni del calcolo coledocico siano effettivamente sproporzionate rispetto al calibro del dotto cistico.

Fig 7- bonifica transcistica

Fig 8 - bonifica trans cistica sotto visione diretta coledocoscopica

Fig 9 - bonifica transcistica : A- inserimento del catetere a cestello
B - apertura del cestello
C - cattura del calcolo
2 ) Coledocolitotomia : Nei pazienti con diametro del coledoco superiore a 10-12 mm , nei cui casi ci sia una grossa formazione calcolotica o nei casi in cui fallisca la bonifica per via trans-cistica si puo' ricorrere alla coledoco litotomia. Una volta identificata la via biliare principale e liberata da aderenze e tessuto adiposo si procede alla sua incisione con il bisturi laparoscopico.Attraverso l'incisione si attraverso una pinza da presa si estraggono le formazioni litiasiche. L'estrazione dell'eventuale calcolo puo' essere fatta sotto visione coledoscopica ed eventuali residui rimossi con cestello di Dormia. Una volta asportati tutti i calcoli si procede con la sutura della breccia coledocica , con o senza posizionamento di drenaggio biliare esterno ( esempio tubo a T ).
3 ) Rendez-vous endolaparoscopico : Durante la procedura laparoscopica introduce un filo guida con un catetere a cestello che , introdotto nel cistico si porta attraverso il coledoco fino a fuoriuscire dalla papilla . Con pinza tipo enterostato posta nel trocar in fossa iliaca destra si procede alla ricerca della prima ansa digiunale e la si chiude in modo tale che non vengano dilatate le anse durante le manovre endoscopiche che ovviamente richiedono insufflazione di aria (l'insufflazione di aria nel digiuno renderebbe successivamente difficoltosa la visione durante la procedura laparoscopica). A questo punto si desuffla l'addome e interviene l'endoscopista che va alla ricerca della papilla e del filo guida precedente inserito attraverso il cistico e, sulla sua guida, esegue la sfinterotomia e la rimozione dei calcoli. Dopo l'atto endoscopico si ritorna in addome, previa ricostituzione del pneumoperitoneo e si rimuove la pinza enterostato sotto controllo diretto.Al termine della bonifica della via biliare principale, l'intervento prosegue con la procedura formale di colecistectomia laparoscopica, irrigazione del letto,estrazione della colecisti protetta da bag di plastica, disinfezione e sutura delle porte, previa apposizione di drenaggio sottoepatico mantenuto in assenza di complicanze locali per 24-48 ore. La prognosi della coledoco litiasi è condizionata fondamentalmente da due complicanze : le colangiti infettive e la pancreatite.
La prevalenza di colangite acuta nella coledoco litiasi è del 6-10 % 8 si stima che l'80 % delle colangiti è dovuta alla colelitiasi. In questo caso le misure di supporto generale, la terapia antibiotica e la risoluzione dell'ostruzione biliare sono di fondamentale importanza per la prognosi.
Un coinvolgimento del pancreas nella coledoco litiasi si manifesta molto frequentemente con una modesta e transitoria iperamilasemia . In genere, questi quadri non comportano scelte diagnostico-terapeutiche e,quindi, organizzative specifiche e non si associano a esiti diversi da quelli dellacoledocolitiasi non complicata. Più raramente ,invece , si instaura un quadro franco di pancreatite acuta che in un 20% dei casi esordisce o evolve verso una forma clinicamente severa ,gravate da una mortalità che può raggiungere anche il 95% dei casi. L'imprevedibilità dell'evoluzione clinica, la complessità della malattia ed il possibile coinvolgimento di più organi comportano scelte anche organizzative ,oltre che diagnostico-terapeutiche .L'approccio richiesto nei casi gravi deve essere obbligatoriamente specialistico ,multidisciplinare,pronto,costante, efficace e sicuro. 27-31
Di fatto la metodica laparoscopica si è procurata un ruolo di rilievo non solo nel trattamento ma anche in quello della coleciste acuta e della coledocolitiasi.
![]() |
| Appunti su: coledocolitiasi, tac addome come leggerla, cestello di dormia, coledocotomia e iperamilasemia, |
|
| Appunti Nutrizione | ![]() |
| Tesine Bambini | ![]() |
| Lezioni Bellezza | ![]() |