![]() |
|
| Appunti universita |
|
| Visite: 2996 | Gradito: |
Leggi anche appunti:Artrite reumatoideArtrite reumatoide È una malattia sistemica del connettivo ad elettiva localizzazione Infezioni pre e perinataliINFEZIONI PRE E PERINATALI Le infezioni prenatali sono contratte dalla madre Circolazione extracorporea (cec)CIRCOLAZIONE EXTRACORPOREA (CEC) Fino agli inizi degli anni cinquanta dello scorso |
![]() |
![]() |
Il primo trapianto cardiaco ( T.C. ) è stato effettuato nel 1967 a Città del Capo da Christian Barnard, ma solo negli anni '80 l'introduzione della ciclosporina nella terapia immunosoppressiva ha mutato radicalmente i risultati clinici a distanza del trapianto cardiaco tanto che oggi nella casistica mondiale la sopravvivenza a 5 anni è il 70 % ed a 10 anni circa 50 %. La mortalità post-operatoria è soprattutto concentrata nel primo anno ( circa 15 % ) e le cause principali di questi decessi sono il rigetto e le infezioni.
Il profilo ideale di un paziente da sottoporre a T.C. dovrebbe includere le seguenti indicazioni:
cardiopatia in fase terminale per la quale non vi sia spazio per la terapia medica né per la chirurgia tradizionale ed in cui l'aspettativa di vita è inferiore a 6 - 12 mesi, età fisiologica ed anagrafica inferiore o uguale a 60 anni ed assenza di altre malattie sistemiche.
Di questi pazienti il 40-50 % muore prima di ricevere l'organo da trapiantare.
La eziopatogenesi, in ordine di frequenza , è la seguente ( dati dell'ISHLT - Registro Internazionale per i trapianti di cuore e polmoni ):
cardiomiopatia a dilatativa idiopatica ( 45 % )
cardiomiopatia ischemica ( 45 % )
malattie valvolari all'ultimo stadio ( 4 %)
cardiopatie congenite complesse ( 2 % )
tumori cardiaci primitivi

CUORE SANO CUORE AFFETTO DA CARDIOMIOPATIA DILATATIVA
RX TORACE DI PAZIENTE AFFETTO
CARDIOMIOPATIA DILATATIVA
Sono costituite dall'età superiore a 65 anni, ipertensione polmonare con elevate resistenze vascolari polmonari ( > 6 U. Wood ) non modificate dal trattamento acuto o prolungato con vasodilatatori, infarto polmonare recente ( < 3 mesi ), diabete mellito insulino - dipendente, malattie sistemiche (vasculiti, connettivopatie, amiloidosi ), insufficienza renale e/o epatica grave, storia di una neoplasia che non possa essere considerata radicalmente curata, ulcera peptica sanguinante, etilismo e tossicodipendenza, patologie psichiatriche, positività agli anticorpi per HIV.
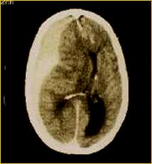
Le patologie che possono portare alla morte cerebrale sono l'emorragia cerebrale da rottura di un vaso intracranico, i traumi cranici ( incidenti stradali, ferite da proiettile ), le neoplasie cerebrali primitive.

EMATOMA SUBDURALE FERITA DA PROIETTILE
L'accertamento della morte cerebrale è competenza di un'equipè medica formata da un neurologo, un rianimatore ed un medico legale e dopo tale accertamento deve trascorrere un periodo di osservazione di sei ore prima che possa essere effettuato il prelievo degli organi.

PAZ. IN MORTECEREBRALE PAZIENTE
NORMALE 
REPERTO ANATOMICO DI MASSIVA EMORRAGIA CEREBRALE
Anamnesi del donatore
Affinchè si possa verificare l'idoneità di un cuore da trapiantare è necessario indagare ed escludere la presenza di antecedenti o fattori di rischio cardiovascolare quali l'ipertensione, il tabagismo, l'etilismo, il diabete, eventuali arteriopatie e malattie dismetaboliche.
Inoltre è bene indagare su eventuali circostanze che possano avere danneggiato l'organo quali arresti cardiaci, turbe del ritmo recidivanti, ipotensioni prolungate, l'utilizzo di droghe vasoattive ad alto dosaggio, l'ipertensione incontrollabile, l'edema polmonare e l'anuria.
Da un punto di vista emodinamico il donatore dovrebbe avere una frequenza cardiaca compresa tra 60 e 120 b/m , una pressione arteriosa > 90 mmHg , una pressione venosa centrale ( PVC ) non superiore a 10 mm Hg , una pressione capillare polmonare ( PCP ) massima di 15 mm Hg , una temperatura corporea > 34 °C , diuresi > 1 ml/Kg/h ed un sostegno inotropo ( dopamina, dobutamina o altro farmaco ) inferiore a 10 gamma.
Anche il bilancio infettivologico del donatore è importante e si deve indagare sulla presenza di febbre, leucocitosi ( GB >25.000 ), sulla presenza di eventuali focolai infettivi, effettuare screening per HIV, HbsAg, HCV, Cytomegalovirus e Toxoplasmosi.
Le indagini strumentali comprendono l'ECG, l'Rx del torace, l'esame ecocardiografico ed eventualmente la coronarografia.
Fondamentale per la riuscita del trapianto è la compatibilità immunologica ( sistema ABO ed HLA ), la linfocitotossicità negativa, ma di non secondaria importanza è la compatibilità somato - ponderale ( viene ammessa una discrepanza di taglia donatore/ricevente non superiore al 25-30 % del peso del potenziale ricevente ).
Il trapianto ortotopico è stato sviluppato sulla base dell'intervento descritto negli anni '60 da Lower e Shumway. La tecnica chirurgica consta di due tempi fondamentali :
prelievo dell'organo dal donatore
trapianto dell'organo nel ricevente
Con i sistemi di conservazione d'organo attuali ( soluzione cardioplegica e raffreddamento topico ) il tempo massimo d'ischemia è ritenuto essere di 4 - 6 ore.
TECNICA DEL PRELIEVO
Vengono preparate l'aorta ascendente, il tronco della polmonare, la vena cava superiore ( isolata il più distalmente possibile e con particolare attenzione alla regione del nodo seno striale ) e la cava inferiore. Al termine della preparazione degli organi addominali, dopo la somministrazione dell'eparina ed effettuate le cannulazioni della vena mesenterica e dell'aorta addominale, si può precedere al prelievo del cuore. Si effettua il clampaggio dell'aorta ascendente e l'infusione di soluzione cardioplegica cristalloide iperpotassica fredda a 4°C nella radice aortica, alla dose di 2000 cc. a 150ml/min/. Al termine dell'infusione della soluzione cardioplegica si procede al prelievo dell'organo.
Vengono sezionate la vena cava superiore, la cava inferiore e l'aorta prossimalmente al clamp; vengono sezionate le vene polmonari di destra e, sollevato l'apice del cuore, le vene polmonari di sinistra. Infine si eseguono le sezioni dell'arteria polmonare destra e sinistra dopo la biforcazione. L'organo asportato viene posto in un recipiente contenente soluzione salina fredda a 4°C. E' poi necessario procedere alla separazione adeguata dei grossi vasi, all'apertura dell'atrio destro e della vena cava inferiore verso l'auricola per la preparazione della cuffia atriale destra procedendo anche all'ispezione del setto interatriale ed alla preparazione della cuffia atriale sinistra.
Il tipo di protezione ipotermica ed anossica è sicuro per un tempo di ischemia entro le 4 - 6 ore. A differenza della fase di prelievo la cardioplegia più frequentemente utilizzata durante l'impianto è quella ematica fredda, ripetuta ogni 20 minuti durante il trapianto sul ricevente, alla dose di 600 ml in 3 min. e ad una pressione di 60-80 mm Hg dal bulbo aortico e di 40mmHg in via retrograda. Al termine del confezionamento delle anastomosi e prima del declampaggio aortico viene infusa nel bulbo aortico una soluzione di riperfusione (soluzione cardioplegica ematica normopotassica arricchita di aminoacidi e riscaldata a 36°C ) per reintegrare le scorte energetiche.

PRELIEVO DI CUORE

CAVO PERICARDICO PRIMA DEL TRAPIANTO

FOTO INTRAOPERATORIA - ANASTOMOSI VASCOLARE
Con questa tecnica vengono asportati completamente i due atri del ricevente. Le connessioni venose sistemiche sono effettuate a livello delle vene cave, mentre le connessioni venose polmonari vengono realizzate selettivamente con il cappuccio atriale separato dalle vene polmonari destre e dalle vene polmonari sinistre.
La cardiectomia prevede la rimozione completa dell'atrio destro del ricevente, mentre l'atrio sinistro viene sagomato mantenendo, come per la tecnica tradizionale, l'intera cuffia atriale comprendente lo sbocco delle quattro vene polmonari.
La fase di impianto prevede inizialmente l'anastomosi della cuffia atriale sinistra, come per la tecnica di Shumway, mentre le anastomosi successive, eseguite in termino-terminale, sono effettuate in questa successione: vena cava inferiore, vena cava superiore, arteria polmonare, aorta.
PROBLEMATICHE POST- TRAPIANTO
Il paziente cardiotrapiantato può andare incontro a diverse complicanze post - operatorie, prima fra tutte il rigetto d'organo. Per fronteggiare questa complicanza il paziente deve essere sottoposto intra e post - operatoriamente ad una terapia immunosoppressiva basata su vari farmaci quali ciclosporina, azatioprina, steroidi, micofenolato, FK 506 ed anticorpi monoclinali. Per tali motivi il paziente viene posto nell'immediato post - operatorio in un box sterile della terapia intensiva, in modo da minimizzare i rischi infettivi. Infatti il paziente, nel primo periodo soprattutto, ma anche a lungo termine, può andare incontro a gravi complicanze infettive, soprattutto polmonari, sia batteriche che virali ( cytomegalovirus ) che micotiche.

PAZIENTE CARDIOTRAPIANTATO
"IN BILICO" TRA RIGETTO ED INFEZIONI
La diagnosi di rigetto miocardico viene effettuata mediante le biopsie endomiocardiche, che vengono effettuate periodicamente nel follow up e che permettono di stabilire il grado di rigetto presente ed il protocollo farmacologico da instaurare.
Altre complicanze post - trapianto, conseguenti all'immunosoppressione farmacologia, sono le neoplasie ( linfomi ecc. ); ed infine si debbono ricordare le complicanze dovute agli effetti collaterali dei farmaci immunosoppressivi ( la ciclosporina può causare insufficienza renale, ipertensione arteriosa ed ipertrofia gengivale, gli steroidi possono determinare diabete mellito, osteoporosi ed osteonecrosi asettica della testa del femore ).
RIGETTO GRADO III A
INFEZIONE POLMONARE DA PNEUMOCYSTIS CARINII
E' la più semplice modalità di assistenza meccanica cardiaca e può essere utilizzato negli adulti ma non nei bambini. Consiste nell'inserimento con tecnica di Seldinger o mediante isolamento chirurgico, attraverso l'arteria femorale, di un catetere del diametro di circa 3 mm. Il catetere è munito all'estremità di un palloncino di poliuretano, che viene posizionato in aorta discendente, subito sotto l'arco aortico ed al di sopra delle arterie renali ( per evitare l'ipoperfusione renale ed il conseguente rischio di insufficienza renale ). La punta del catetere è radiopaca per poter essere visualizzata all'Rx del torace. L'altra estremità del catetere presenta una guaina a soffietto che permette di variare la lunghezza del catetere introdotto in arteria femorale, mantenendone la sterilità, e va collegata alla console di controllo che procederà a gonfiare il palloncino con elio ( gas inerte, per cui un'eventuale rottura del palloncino non genererebbe alcun problema embolico ) durante la diastole ed a sgonfiarlo durante la sistole, utilizzando come trigger l'onda R dell'ECG o il picco sistolico del paziente. Il contropulsatore aortico, che riesce a determinare un aumento della portata cardiaca anche di 1 litro/min., viene utilizzato nello shock cardiogeno, nel DIV post- infartuale, nell'impossibilità allo svezzamento dalla CEC durante gli interventi cardiochirurgici.
Ideato e realizzato presso la Stanford University, ha permesso l'impianto con successo come bridge al trapianto nel 1984. E' costituito da un ventricolo impiantabile posto dentro il corpo ( in una tasca appositamente creata in cavità addominale ) e da una consolle esterna collegata al ventricolo attraverso un cavo percutaneo. La camera ventricolare viene collegata, mediante condotti protesici, all'apice del ventricolo sinistro del cuore nativo ed all'aorta ascendente. Il ventricolo artificiale è realizzato in poliuretano ed il volume di sangue contenuto è 70 ml. Tra i condotti d'ingresso e d'uscita del sangue e il sacco ventricolare, vengono interposte due protesi valvolari di pericardio bovino (o porcine) che presentano una flangia in silicone adatta al bloccaggio della valvola in corrispondenza dei condotti protesici. Grazie alla miniaturizzazione del sistema di controllo è stato sviluppato il sistema "indossabile" che non necessita della ingombrante consolle.
![]() |
| Appunti su: cec in trapianto cardiaco, trapianto cardiaco tecnica chirurgica, Tecnica trapianto cardiaco bicavale, https:wwwappuntimaniacomuniversitamedicinatrapianto-cardiaco34php, |
|
| Appunti Bambini | ![]() |
| Tesine Bellezza | ![]() |
| Lezioni Nutrizione | ![]() |