Appunti per Scuola e Università
humanisticheUmanistiche
Appunti e tesine di tutte le materie per gli studenti delle scuole medie riguardanti le materie umanistiche: dall'italiano alla storia riguardanti le materie umanistiche: dall'italiano alla storia 
sceintificheScientifiche
Appunti, analisi, compresione per le scuole medie suddivisi per materie scientifiche, per ognuna troverai appunti, dispense, esercitazioni, tesi e riassunti in download.
tecnicheTecniche
Gli appunti, le tesine e riassunti di tecnica amministrativa, ingegneria tecnico, costruzione. Tutti gli appunti di AppuntiMania.com gratis!
Appunti
universita
AmministratoriArcheologiaCommoditiesContabilitaDiritto
Finanza bancheGeologiaGestioneIdrologiaMarketing
MedicinaMeteorologiaMusicaRicercheScienze politiche
SilvicolturaTurismo


AppuntiMania.com » Universita » Appunti di Medicina » Ortodonzia Mobile

Ortodonzia Mobile




Visite: 5966Gradito:apreciate 5-stela [ Picolo appunti ]
Leggi anche appunti:

Cardiologia pediatrica


CARDIOLOGIA PEDIATRICA Cardiopatie congenite Dati epidemiologici: Le cardiopatie

L'igiene e la medicina sociale


L'igiene e la medicina sociale       Compiti dell'igiene   L'igiene

La bonifica pontina


LA BONIFICA PONTINA Inquadramento storico La Grande Guerra è terminata ed
immagine di categoria

Scarica gratis Ortodonzia Mobile

Ortodonzia Mobile


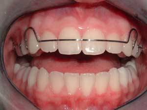
apparecchio ortodontico mobile.


Per ortodonzia mobile si intende l'utilizzo di apparecchi per la correzione di disallineamenti dentali che il paziente può applicare e rimuovere dalle arcate dentarie.

Gli apparecchi ortodontici mobili provocano lo spostamento dentale per mezzo di forze generate dalla deformazione elastica dell'apparecchio (Invisalign), dall'azione di stimolo e riequilibrio delle forze biologiche del paziente (funzionali), oppure prodotte dall'attivazione di parti incorporate (meccanici): viti, molle, archi vestibolari. Gli apparecchi mobili si suddividono in:



   Apparecchi mobili meccanici;

   Apparecchi mobili funzionali;

   Apparecchi mobili estetici (Invisalign).





Apparecchi mobili meccanici


Tra questi troviamo la placca meccanica intrinsecamente attiva, molto utilizzata nel passato, prima dell'avvento degli apparecchi fissi.
E' un apparecchio formato da un corpo in resina acrilica che trattiene nella sua struttura sia gli elementi che ne permettono l'aggancio ai denti sia quelli più propriamente meccanici, viti, molle e archi, che una volta attivati sono in grado di spostare i denti.
La correzione della malocclusione con questo tipo di apparecchio è determinata da

un'azione prevalente sulle posizioni dentali.  


apparecchio mobile meccanico.



Apparecchi mobili funzionali


Altri apparecchi di ortodonzia che il paziente può applicare e rimuovere sono di tipo funzionale. Essi si caratterizzano per il fatto che le forze in grado di determinare la correzione della malocclusione sono estrinseche all'apparecchio. Prodotte dalle modifiche della matrice funzionale che determina la crescita scheletrica dei mascellari e lo sviluppo della dentatura.
Questo tipo di apparecchi agisce sia sulle posizioni dentali che sulla crescita scheletrica, correggendo la malocclusione con un vero e proprio effetto combinato, ortodontico e ortopedico.



apparecchio mobile funzionale.




Apparecchi mobili estetici (invisalign)


Si tratta di sottili mascherine in resina trasparente che il paziente applica sulle arcate dentarie. L'allineamento dei denti con questi apparecchi è anche chiamato ortodonzia invisibile, per il fatto che non alterano l'estetica del sorriso.
L'azione è sulle posizioni dentali, efficace perciò per i disallineamenti dentali che non richiedono la correzione di anomalie scheletriche associate.



apparecchio mobile estetico.



Alcuni esempi di apparecchi ortodontici

Quad-Helix.

Il Quad-Helix è un dispositivo usato principalmente per l'espansione della sutura palatina, ma anche per contrarre, ancorare, ruotare e deruotare.
Presenta un arco in filo di acciaio del diametro di
0.9 mm circa con quattro spirali che ne aumentano la lunghezza e migliorano la possibilità di controllare l'intensità e la direzione della forza e può essere saldato direttamente alle bande molari o inserito nei tubi delle stesse, in questo caso con la possibilità di poterlo estrarre ed attivare. Mediante barre palatali di forma varia si possono trasferire forze trasversali sui canini e sui premolari. (fisso).

quad-helix.


R.E.P. (Rapido Espansore Palatino).

Apparecchiatura ortodontica-ortopedica fissa che permette con un solo mezzo terapeutico di raggiungere l'espansione basale dell'apparato osteo-mascellare (palatino), favorendo l'espansione della base apicale e del setto nasale palatino, migliorando sia i rapporti osseo dentali occlusali, sia la respirazione. (fisso).

R.E.P. (rapido espansore palatino).

Placca di Schwartz.

La placca di Schwartz è una placca di resina costituita da ganci di Adams, realizzati sui molari permanenti con filo in acciaio di spessore 0.7 mm, e da un arco vestibolare, anch'esso in acciaio di spessore 0.8 mm posizionato sulla faccia vestibolare dei denti anteriori. A seconda delle necessità può essere modificata aggiungendo viti di espansione mediana per ottenere precisi movimenti dentari. (mobile).

placca di Schwartz.

Fasi di lavorazione per la realizzazione di una placca di Schwartz.

Una volta sviluppati i modelli e posizionati in articolatore, l'odontotecnico traccia l'equatore dei denti sulla faccia vestibolare degli anteriori. Si procede con la realizzazione dell'arco vestibolare e dei ganci di Adams. Dopo aver fissato, con della cera collante, i ganci e le viti i modelli vengono preparati per il boxaggio, la cui funzione è quella di impedire che eventuali eccedenze di resina colate durante la fase di lavorazione vadano ad intaccare le zone non interessate del modello. Questa tecnica si avvale di bastoncini di cera che vengono posizionati sui denti posteriori sulle cuspidi palatali e linguali, mentre sui denti anteriori viene posizionato sul margine incisale. Il bastoncino di cera verrà posto anche nella zona del post-dam, nel modello inferiore nella zona del fornice linguale. I modelli vengono tenuti per circa 10 min. immersi in acqua per farli saturare, dopo di che asciugati con l'aria compressa e isolati. La tecnica per la resinatura più utilizzata è la tecnica a spruzzo. Si procede spargendo la polvere della resina sul modello e successivamente il liquido e cosi via fino ad ottenere uno strato omogeneo di resina. Se si sono rispettati i tempi di lavorazione si otterrà un manufatto in resina il cui colore passerà da lucido umido a opaco zuccherino. La polimerizzazione del manufatto avverrà in una pentola a pressione a 2.5 atm e alla temperatura di 37° C. questa fase di lavorazione consente di ottenere un manufatto privo di impurità, il modello resterà in acqua per 10 min. Una volta avvenuta la polimerizzazione della resina si procede alla rifinitura della placca e alla successiva lucidatura, con questa fase la lavorazione della placca di Schwartz può definirsi conclusa.




vista frontale della placca di Schwartz.









Scarica gratis Ortodonzia Mobile
Appunti su: ortodonzia mobile tesi, https:wwwappuntimaniacomuniversitamedicinaortodonzia-mobile55php, placca schawc agisce, placca di schwarz, invisalign fasi produttive,



Scarica 100% gratis e , tesine, riassunti



Registrati ora

Password dimenticata?
  • Appunti superiori
  • In questa sezione troverai sunti esame, dispense, appunti universitari, esercitazioni e tesi, suddivisi per le principali facoltà.
  • Università
  • Appunti, dispense, esercitazioni, riassunti direttamente dalla tua aula Universitaria
  • all'Informatica
  • Introduzione all'Informatica, Information and Comunication Tecnology, componenti del computer, software, hardware ...

Appunti Nutrizione Nutrizione
Tesine Bellezza Bellezza
Lezioni Bambini Bambini