![]() |
|
| Appunti universita |
|
| Visite: 4658 | Gradito: |
Leggi anche appunti:Articolazioni del troncoARTICOLAZIONI DEL TRONCO Articolazioni della colonna vertebrale: Articolazioni Artrite reumatoideArtrite reumatoide Definizione. L'A.R. è una malattia infiammatoria sistemica EndometriosiENDOMETRIOSI Per endometriosi s'intende, un isola ectopica di endometrio che |
![]() |
![]() |
ABSTRACT
La
diagnosi del morbo di Hirschsprung (MH) si esegue con esami per immagini
(clisma opaco), tests funzionali come
L'approccio diagnostico più appropriato è ancora discusso dato che tutti i tests producono falsi positivi e falsi negativi ed ognuno presenta vantaggi e svantaggi. Lo scopo di questo lavoro è quello di valutare l'efficacia di un approccio diagnostico differenziato in base all'età per i pazienti con sospetto di MH.
Materiali e Metodi: da Gennaio
I pazienti del gruppo A sono stati sottoposti a BRS e clisma opaco (CO), mentre quelli del gruppo B sono stati sottoposti a MAR per lo studio del tono dello sfintere anale interno e per la ricerca del Riflesso Inibitore Retto-Anale (RIRA), poi in base all'esito della MAR sono stati divisi in 5 sottogruppi ed hanno ricevuto un iter diagnostico-terapeutico diverso: B1, tono normale e RIRA presente (pulizia intestinale con soluzione a base di polietilenglicole (PEG) ad alto peso molecolare poi lassativi orali e clisteri settimanali per 2 mesi); B2, ipertono dello sfintere anale interno e RIRA presente (anestetico locale per 8 settimane associato al lassativo orale e clisteri settimanali per 2 mesi); B3, pazienti non collaboranti (sottoposti a BRS); B4, RIRA assente/dubbio (sottoposti a BRS e CO); B5, RIRA presente, ma scarsi risultati dopo terapia medica al follow up di 6 mesi (sottoposti a BRS e CO). I pazienti con BRS positive (aumentata attività dell'Acetilcolinesterasi associata ad assenza dei gangli) sono stati sottoposti ad intervento chirurgico di Pull-Through ano-rettale per via laparoscopica sec. Georgeson.
Tutti i pazienti hanno seguito un follow up a 2 mesi
(positivo se evacuazioni settimanali >
Risultati: I pazienti arruolati per questo studio sono stati 100 (55 maschi, 45 femmine), di cui 14 (età media 2 mesi) sono stati inseriti nel gruppo A, gli altri 86 (età media 6 anni) nel gruppo B. Il CO nei pazienti del gruppo A ha mostrato dilatazione del colon con cono di transizione in due casi, mentre le biopsie rettali per suzione hanno evidenziato assenza di cellule gangliari ed aumento delle fibre colinergiche nel 50% dei pazienti. Nel gruppo B1 sono stati inclusi 40 pazienti, 24 nel gruppo B2, i non collaboranti sono stati 4, mentre 18 sono stati inclusi nel gruppo B4 ed uno solo nel B5. Nel gruppo B sono stati eseguiti 19 CO (gruppi B4 e B5) e BRS in 23 pazienti (gruppi B3, B4 e B5). Al CO sono stati evidenziati dolicolon e megaretto nel 89% dei casi, mentre le BRS hanno evidenziato assenza di gangli ed aumento delle fibre colinergiche in 3 bambini (13%). L'intervento chirurgico è stato eseguito in 6 bambini del gruppo A e 2 del gruppo B, gli altri sono stati trattati altrove.
Conclusioni:
L'approccio diagnostico differenziato in base all'età permette di selezionare i casi da sottoporre alle BRS e CO, esami invasivi che possono presentare complicanze. L'esecuzione delle BRS in casi selezionati permette di avere alti valori di positività (50% e 13%) evitando di estendere la procedura a tutti i pazienti con sospetto di MH.
2. IL MORBO DI HIRSCHSPRUNG
2.1. INTRODUZIONE
Il morbo di Hirschsprung (MH) rappresenta la più comune malformazione congenita del sistema nervoso enterico riportata per la prima volta in Letteratura da Frederick Ruysch (1) nel 1691 e poi descritta ad un Congresso Pediatrico di Berlino (1886) da un medico danese, Harald Hirschsprung (1830-1916) che riportò due casi di bambini deceduti con reperto autoptico di colon aumentato di dimensioni ed ipertrofico.
Il MH è caratterizzato dall'assenza delle cellule gangliari e da un'abnorme innervazione della muscolatura liscia degli ultimi segmenti dell'intestino. La porzione intestinale priva di gangli, detta agangliare, crea un'ostruzione intestinale per mancato rilasciamento durante la peristalsi e mancata progressione del contenuto intestinale (Fig. 1).
La malformazione coinvolge sempre il retto, ma la lunghezza del segmento agangliare può variare: nel 75% dei pazienti è limitato al retto-sigma, tutto il colon è interessato nell'8% dei casi, raramente viene interessato il piccolo intestino.
L'incidenza è di 1 caso ogni 5000 nati vivi (2) .
Vi è una prevalenza nel sesso maschile, rapporto 3 : 1 - 5 : 1, soprattutto in quelli con segmento corto.
Figura 1. Immagine schematica del megacolon agangliare
L'età media della diagnosi è nel 15% dei casi entro il primo mese di vita, nel 40-50% nei primi 3 mesi. Si associa spesso ad altre malformazioni (idrocefalo, diverticoli vescicali, diverticolo di Meckel, ano imperforato, agenesia renale, difetti del setto ventricolare, criptorchidismo, ecc.). La sindrome di Down è l'anomalia cromosomica più spesso associata con questa malattia (10 % dei pazienti).
2.2. FISIOPATOLOGIA
L'eziologia risulta multifattoriale, vi è una predisposizione familiare, ma può svilupparsi autonomamente (3).
Di recente sono stati individuati 9 geni responsabili della malattia anche se quello maggiormente studiato resta il gene RET (3, 4) sul cromosoma 10q11.2. Questo proto-oncogene, che presenta 114 recettori di amminoacidi di membrana, una regione ricca di cisteina ed un recettore per la tirosina chinasi, è imputato nello sviluppo del sistema nervoso centrale e periferico. Il sistema nervoso autonomo dell'intestino presenta due strati separati tra loro, plesso sottomucoso e mioenterico, con innumerevoli interconnessioni (Fig. 2).
Figura 2. Innervazione del colon (schema)
Nonostante vi siano fibre provenienti dal Sistema Nervoso Centrale esso gode di una funzione intrinseca indipendente che si esplica come motilità propulsiva intestinale, comunicazione interneuronale, modulazione dell'afflusso ematico all'intestino, stimolazione alla secrezione delle ghiandole intestinali e modulazione della risposta infiammatoria locale. Durante lo sviluppo fetale, tra la 4° e la 12° settimana di gestazione, le cellule nervose provenienti dalla cresta neurale colonizzano l'intestino in senso rostro-caudale, motivo per cui il tratto agangliare si trova sempre a valle della zona in cui avviene l'arresto dello sviluppo.
2.3. CLINICA
La presentazione clinica varia in base alla lunghezza del segmento interessato ed alla penetranza della malattia. Nel neonato i segni clinici più comuni sono la ritardata emissione di meconio e fenomeni occlusivi transitori. Spesso l'emissione di meconio risulta parziale, piuttosto che ritardata e pertanto il primo segno clinico di malattia può non essere facilmente riconosciuto. Dopo la nascita vi è un enorme accumulo di feci e gas nell'intestino dilatato a monte del segmento agangliare ed il quadro clinico è caratterizzato da assenza di evacuazioni spontanee, distensione addominale ingravescente e vomito (Tabella 1).
Quando i segni iniziali, legati alla ritardata emissione di meconio, si risolvono spontaneamente o con la semplice stimolazione rettale subentra un quadro di stipsi cronica progressiva associata o meno a ritardo di crescita. Una diagnosi tardiva nei pazienti affetti da MH predispone a complicanze gravi come l'enterocolite con febbre, distensione addominale e diarrea a spruzzo.
|
PRESENTAZIONE CLINICA Neonato: Vomito biliare Enterocolite Ritardo all'emissione di meconio nelle prime 24 ore di vita Subocclusione intestinale (distensione addominale progressiva) Ittero Difficoltà all'alimentazione Bambino: Stipsi severa Assenza di soiling Ritardo di crescita Presenza di fecaloma Malnutrizione Distensione addominale progressiva |
Tabella 1: presentazione clinica della malattia
2.4. DIAGNOSI
La diagnosi di MH non è
semplice ed i tests attualmente a nostra disposizione sono tre. L'immagine di
una zona di transizione è il segno tipico presente al clisma opaco (CO), mentre

Figura 3. Schema dei vari tipi di disganglionosi intestinali. Nel M. di Hirschsprung:
gangli mioenterici assenti/rari, fibre AChE aumentate nella lamina propria.
Ancora si discute riguardo
al più appropriato test diagnostico dato che il CO,
Analizzando singolarmente i vari tests:
il Clisma Opaco si effettua iniettando una sostanza radiopaca nel retto senza preparazione intestinale, esso può evidenziare una zona di transizione caratteristica per la diagnosi di MH. Ha una sensibilità del 70% ed una specificità del 83%. La possibilità di avere falsi negativi è maggiore nei pazienti più piccoli, nei quali l'intestino risulta ancora poco dilatato per avere un'immagine caratteristica (6), nei pazienti sottoposti a pulizia intestinale o in quelli che hanno ricevuto un'esplorazione digitale del retto (7). L'esame non è specifico del MH (diagnosi differenziale con immagine da tappo da meconio), è invasiva per l'uso di radiazioni, ma può dare utili informazioni sulla lunghezza del tratto agangliare.
nel paziente normale la distensione dell'ampolla rettale
causa il rilassamento dello sfintere anale interno (la zona ad alta pressione
presente all'interno del canale anale), questo effetto è modulato dal sistema
nervoso intrinseco dell'intestino ed è assente nel MH. Dopo i primi sei mesi di
vita
Attualmente l'esame più attendibile per la diagnosi di MH è
2.5. TRATTAMENTO
La terapia del MH è chirurgica.
Nelle forme ad insorgenza precoce riveste un ruolo importante il "nursing", irrigazioni intestinale di soluzione fisiologica attraverso catetere, che permettono di evitare complicanze gravi come l'enterocolite scatenata dalla distensione progressiva dell'ansa per l'accumulo di feci. Nei pazienti con segmento agangliare lungo può non essere sufficiente il "nursing" per cui è necessario ricorrere ad una colostomia.
L'intervento va eseguito non appena viene posta la diagnosi.
Lo scopo dell'intervento è quello di rimuovere il tratto agangliare, ripristinare la canalizzazione intestinale e preservare la continenza fecale. Diverse sono le tecniche chirurgiche disponibili: la tecnica di Swenson che prevede la resezione del segmento interessato, così come quella di Rehbein, l'intervento di Duhamel si effettua con resezione parziale del segmento in modo da anastomizzare il tratto sano con parte del retto, mentre il Pull-Trough ano-rettale di Soave consiste in una rettosigmoidectomia extramucosa e successivo abbassamento attraverso la porzione ano-rettale terminale (Fig. 4).

Figura 4. Schema dei vari tipi di intervento: Swenson (A),
Soave (B), Rehbein (C) e Duhamel (D).
Recentemente è stato introdotto da Georgeson il trattamento laparoscopico che consiste nell'eseguire l'intervento di Soave realizzando il tempo addominale (biopsie siero-muscolari e liberazione del tratto intestinale agangliare) per via laparoscopica.
3. RAZIONALE
L'approccio diagnostico più appropriato al paziente con sospetto di MH è ancora discusso in Letteratura (19).
La stipsi in età pediatrica
è un disturbo molto comune e solo nel 10% dei casi è dovuta ad un'alterazione organica (20), i principali tests diagnostici attualmente a
nostra disposizione presentano problemi tecnici, inoltre si discute sui loro
costi e sulla loro invasività. Alcuni sono molto attendibili come le BRS, ma hanno
lo svantaggio di essere invasivi (in letteratura sono riportate importanti
complicanze come sanguinamento rettale persistente, perforazione intestinale e
sepsi pelvica e richiedono un maggiore impegno economico (strumentario
monouso, coloranti e reattivi) oltre che umano (medico, anatomo-patologo). Il
CO è semplice da effettuare, ma ha un'attendibilità minore ed è invasivo (uso
di radiazioni).
I pazienti con sospetto di MH
vanno divisi in due categorie principali: quelli con manifestazioni cliniche
nei primi mesi di vita che richiedono una diagnosi precoce per evitare temibili
complicanze come l'enterocolite, per cui è indispensabile il ricorso a tests
molto attendibili come le BRS, e quelli con stipsi severa in età più avanzata
che inizialmente ricevono un trattamento medico ed in mancanza di risultati
positivi arrivano all'osservazione del chirurgo. In questi ultimi bisogna
ricorrere ad un test poco invasivo e ripetibile come
4. SCOPO DELLO STUDIO
Lo scopo di questo studio è quello di valutare i risultati di un approccio diagnostico differenziato per i pazienti con sospetto di MH e definire un protocollo per la gestione di questi bambini.
5. MATERIALI E METODI
In un periodo di tempo di 30 mesi (Gennaio 2005 - Giugno 2007) sono stati esaminati tutti i pazienti giunti all'osservazione chirurgica per sospetto di MH.
Inizialmente è stata eseguita un'indagine anamnestica per raccogliere importanti dati riguardanti l'emissione di meconio (considerata ritardata se dopo le 24 h), episodi di subocclusione intestinale, ritardo di crescita (< 3 percentile) e presenza di soiling/encopresi. L'esame clinico del paziente è stato indirizzato alla ricerca di patologie anali (ragadi, emorroidi) e fecaloma.
I pazienti sono stati divisi in due gruppi in base all'età (Schema 1): quelli con meno di un anno (gruppo A) e quelli di età superiore ad un anno (gruppo B).
I pazienti del gruppo A sono stati sottoposti a BRS e CO.
I pazienti del gruppo B sono stati sottoposti a MAR per lo studio del tono dello sfintere anale interno e per la ricerca del RIRA ed in base all'esito della MAR divisi in 5 sottogruppi che hanno ricevuto un diverso iter diagnostico e terapeutico:
Sottogruppo B1, soggetti con tono anale normale e RIRA presente, il trattamento è stato: pulizia intestinale con soluzione a base di polietilenglicole (PEG) ad alto peso molecolare (4000) (Isocolan), somministrato alla dose di 1,5 g/kg/die sciolto in 125-250 ml di acqua fino ad emissione di feci liquide, successivamente trattamento medico con lassativi orali (lattulosio alla dose di 0.5 g/kg/die) e clisteri settimanali per 2 mesi;
Sottogruppo B2, soggetti con ipertono dello sfintere anale interno e RIRA presente, hanno ricevuto trattamento medico con anestetico locale (prilocaina - lidocaina, EMLA) per 8 settimane associato al lassativo orale (lattulosio alla dose di 0.5 g/kg/die) e clisteri settimanali per 2 mesi;
Sottogruppo B3, pazienti non collaboranti in cui è stata impossibile l'esecuzione della MAR, in questo caso sono state eseguite le BRS;
Sottogruppo B4, soggetti con RIRA assente/dubbio, questi pazienti sono stati sottoposti a BRS e CO, i casi risultati negativi hanno ricevuto lo stesso trattamento del gruppo B1;
Sottogruppo B5, soggetti con RIRA presente in cui il trattamento medico ha mostrato scarsi risultati al follow up di 6 mesi, in questo caso i pazienti sono stati sottoposti a BRS e CO.
Tutti i pazienti hanno
seguito un follow up a 2 mesi, valutato positivo nel caso di un numero di
evacuazioni settimanali >
Il CO è stato eseguito senza preparazione intestinale, con posizionamento di catetere rettale senza pallone e somministrazione di mezzo di contrasto iodato diluito (1:2 - 1:3 in base all'età del paziente), sono state eseguite proiezioni al momento della somministrazione del clisma e dopo 24 ore per valutare la capacità di svuotamento dell'intestino. L'esame è stato eseguito per la ricerca di zone di transizione in modo da poter valutare l'estensione della aganglia.
La misurazione del tono
dello sfintere anale interno (SAI) è stata studiata con l'uso di un catetere di
silicone micromanometrico (diametro esterno di
L'estremità con palloncino è stata posizionata nel retto ad un'altezza tale che il canale di registrazione della pressione fosse in corrispondenza dello SAI ed il RIRA è stato considerato presente in caso in cui la pressione si sia ridotta di almeno 5 cmH2O per 5 secondi e proporzionato se all'aumentare della insufflazione si sia ridotto proporzionalmente il tono dello SAI.
Figura 5. Posizione del
paziente durante
Figura 6. Catetere con palloncino gonfiabile all'estremità
Le BRS sono state eseguite con strumento Rectal Biopsy Tool (RBT) (Fig. 7) secondo la tecnica proposta da Noblett. In caso di neonati la procedura è stata eseguita dopo almeno 1 mese di vita.
Figura 7. Strumento per BRS
Tutti i pazienti hanno
ricevuto un prelievo ematico per controllare la funzionalità epatica e la
coagulazione prima di essere sottoposti a BRS, quindi preparati con clisteri
evacuativi eseguiti due volte al giorno per 3-5 giorni ed interrotti il giorno
prima della biopsia in modo da ridurre l'edema della mucosa rettale. Non è
stata eseguita terapia antibiotica dopo le biopsie. La procedura è stata
effettuata dal medico con l'assistenza di due infermieri. Una volta posto il
paziente in posizione ginecologica sono state eseguite 3 biopsie,
I pazienti con MH sono stati sottoposti ad intervento chirurgico di Pull-Through ano-rettale per via laparoscopica sec. Georgeson.
Schema 1. Descrizione sinottica della procedura eseguita nei vari gruppi
6. RISULTATI
I pazienti arruolati per questo studio sono stati 100 (55 maschi, 45 femmine), di cui 14 con età media di 2 mesi (range 1 - 5 mesi) sono stati inseriti nel gruppo A, i restanti 86 pazienti con età media di 6 anni (range 1 - 13 anni) nel gruppo B.
Nel gruppo A sono stati inseriti neonati-lattanti che avevano presentato tutti episodi di subocclusione intestinale, solo in 2 casi è stato registrato un ritardo dell'emissione di meconio.
I bambini arruolati nel gruppo B presentavano tutti stipsi severa, solo in 3 casi è stato registrato un ritardo di crescita, mentre fecaloma e soiling/encopresi erano presenti rispettivamente nel 70% e nel 50 % dei casi.
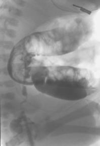
Nel gruppo A sono stati eseguiti in tutti i casi CO e BRS, per un totale di 42 campioni rettali (3 per ogni paziente). Non è stata registrata alcuna complicanza a breve e lungo termine. Il CO ha mostrato in due casi (14%) dilatazione del colon con cono di transizione, segni suggestivi di MH (Fig. 8), dilatazione del colon in 6 casi (43%), mentre reperto normale era presente nei restanti 6 casi.
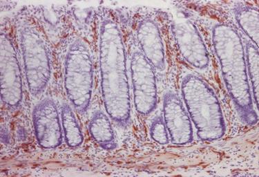
Le indagini immunoistochimiche effettuate sui campioni prelevati hanno mostrato assenza di cellule gangliari ed aumento delle fibre colinergiche (Fig. 9), quadro suggestivo per MH in 7 casi (50%) (2 con ritardata emissione di meconio, 2 con cono di transizione al CO, 3 con dilatazione del colon al CO).
* *
![]()
*![]()
Figura 8. Immagine radiologica:
tratto agangliare (frecce) e tratto dilatato (asterisco)
I pazienti del gruppo B sono stati sottoposti a MAR, non sono state registrate complicanze ed in base all'esito dell'esame sono stati divisi nei vari sottogruppi.
Figura 9. Immagine istopatologica di mucosa e sottomucosa rettale
(in marrone le fibre AChE nella mucosa e lamina propria)
Il sottogruppo B1 ha incluso 40 pazienti (47%) che hanno ricevuto la pulizia intestinale, il trattamento medico ed il follow up (Figg. 10, 11).
Il sottogruppo B2 ha incluso 24 pazienti (27%) che hanno ricevuto terapia medica, trattamento locale e follow up (Fig. 12).
Il sottogruppo B3 ha incluso 4 pazienti (5%) (età media 2,5 anni) che sono stati sottoposti a BRS.
Figura 10. Immagine MAR: tono anale normale
Il sottogruppo B4 ha incluso 18 pazienti (21%) che sono stati sottoposti a BRS in quanto il RIRA non era presente (Fig. 13).
Il sottogruppo B5 ha incluso un solo paziente del gruppo B1 risultato resistente alla terapia medica dopo 6 mesi.
Figura 11. Immagine MAR: RIRA presente e proporzionato
(in rosso il tono anale, in blu la pressione del palloncino gonfiato)
Figura 12. Immagine MAR: ipertono dello SAI
Quindi nel gruppo B sono stati eseguiti 19 CO (18 del sottogruppo B4 ed 1 del B5) e 69 BRS in 23 pazienti (4 del B3, 18 del B4 ed 1 del B5).
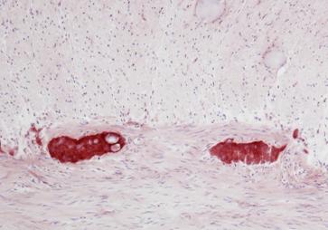
Al CO sono stati evidenziati dolicocolon e megaretto nel 89% dei casi (17 pazienti), mentre le colorazioni dei campioni rettali hanno evidenziato gangli normali (Fig. 14) e non aumento delle fibre colinergiche in 20 pazienti (87%), mentre assenza di gangli ed aumento dell'AChE in 3 casi (13%).
Figura 13. Immagine MAR: RIRA non presente
(in rosso il tono anale, in blu la pressione del palloncino gonfiato)
Figura 14. Immagine istopatologica di mucosa e sottomucosa
rettale (in rosso i gangli nello stato sottomucoso)
In nessun caso è stato necessario ricorrere a biopsie rettali chirurgiche.
In totale sono stati diagnosticati 7 MH nel gruppo A e 3 nel gruppo B.
L'intervento chirurgico è stato eseguito in 6 bambini del gruppo A e 2 del gruppo B, gli altri sono stati trattati altrove.
I pazienti con BRS e CO negativi hanno mostrato buon risultato clinico al follow up di 2 e 6 mesi.
7. DISCUSSIONE
La stipsi è un problema
comune in età pediatrica (5 - 10% di bambini). Nella stragrande maggioranza dei
casi (90%) è di natura funzionale e può creare un "disconfort" per il bambino e
la famiglia. Solo in una piccola
percentuale di pazienti (10%) la causa è organica (20) e il MH colpisce 1
bambino ogni 5000 nati (2). La diagnosi del MH non è facile da stabilire ed
oggi sono disponibili tre tipi di studi: radiologico, manometrico ed
immunoistochimico. Quest'ultimo è un test molto accurato per la diagnosi
definitiva e pur avendo una specificità
(Falsi Positivi) superiore agli altri tests presenta una sensitività (Falsi
Negativi) sovrapponibile a quella della MAR (8). Questi dati della Letteratura
stanno a significare che un soggetto con RIRA presente (MAR negativa) ha la
stessa probabilità di non avere il MH di uno risultato negativo alle BRS.
Viceversa un soggetto RIRA assente (MAR positiva) ha una probabilità minore di
avere il MH rispetto ad uno positivo alle BRS. Considerato il problema della
diversa invasività ed i costi delle due indagini, problema sempre più attuale
nella gestione sanitaria, sarebbe opportuno utilizzare
Nei lattanti la minore affidabilità della MAR, la maggiore incidenza di malattia nei casi sospetti ed il rischio della temibile enterocolite rende necessario il ricorso in prima istanza alle BRS associate al CO per avere informazioni sulla lunghezza del tratto agangliare. In questo studio è stato limitato l'uso delle radiazioni, infatti si è preferito non ricorrere ad esse nei pazienti con minimo sospetto di MH, cioè in quelli non collaboranti alla MAR, peraltro solo il 5% della casistica. La risposta al trattamento medico dopo 6 mesi risulta essere un'ulteriore garanzia dell'affidabilità della MAR, infatti è bene sottoporre a BRS i pazienti con RIRA presente, ma con scarsa risposta al trattamento medico. In questa casistica c'è stato un solo caso, probabilmente per non aver seguito scrupolosamente la terapia, peraltro risultato negativo anche alle BRS. L'approccio differenziato ha permesso di ottenete un uso molto oculato di tests invasivi (RBS e CO) e di limitare i costi della diagnostica del MH. Lo studio manometrico ha evidenziato alcuni pazienti con stipsi severa dovuta ad ipertono del SAI, ritenuto tale per valori superiori a 50 cmH2O (25), che è stato registrato in 24 casi (27%), i quali hanno mostrato buoni risultati al follow up dopo trattamento con crema anestetica locale (26) associato a lassativi orali. Un momento particolare nel management del paziente con stipsi severa è la pulizia intestinale con soluzione a base di polietilenglicole (PEG) ad alto peso molecolare (4000) (Isocolan), somministrato alla dose di 1,5 g/kg/die fino ad emissione di feci liquide (27), questo consente di avere buoni risultati con lassativi orali successivamente. La diagnosi di MH eseguita con approccio differenziato ha offerto un'affidabilità delle BRS leggermente più alta rispetto ai dati della Letteratura (28): 50% vs 30% per i pazienti di età inferiore ad 1 anno e 13% vs 10% in quelli più grandi, eseguendo le BRS solo nel 36% di tutti i pazienti della casistica (gruppi A e B).
8. CONCLUSIONE
9. BIBLIOGRAFIA
Leenders E, Sieber WC. Congenital megacolon observation by Frederick Ruysch. 1691. J Pediatr Surg 1970; 5: 1 - 3.
Amiel J, Lyonnat S. Hirschsprung disease, associated syndromes, and genetics: a review. J Med Genet 2001; 38: 729 - 39.
Parisi MA, Kapur RP. Genetics of Hirschsprung disease. Curr Opin Pediatr 2000; 12: 610 - 7.
Ruiz-Ferrer M, Fernandez RM et al. A complex additive model of inheritance for Hirschsprung disease is supported by both RET mutations and predisposing RET haplotypes. Genet Med 2006; 8 (11): 704-10.
Kurer MH, Lawson JO, Pambakian H. Suction biopsy in Hirschsprung's disease. Arch Dis Child Jan 1986; 61 (1): 83-84.
Taxman TL, Yulish BS, Rothstein FC. How useful is the barium enema in the diagnosis of infantile Hirschsprung's disease? Am J Dis Child Sep 1986; 140 (9): 881 - 4.
Blake NS. Diagnosis of Hirschsprung's Disease and Allied Disorders. Hirschsprung's Disease and Allied Disorders, 2 ed, 2000: 223 - 90.
De Lorijn F, Kremer LCM, Reitsma JB, Benninga MA. Diagnostic Tests in Hirschsprung Disease: A Systematic Review. J Pediatric Gastroenterology and Nutrition 2006; 42: 496 - 505.
Aaronson I, Nixon HH. A clinical evaluation of anorectal pressure studies in the diagnosis of Hirschsprung's disease. Gut 1972; 13: 138 - 46.
Holschneider AM, Kellner E, Streibl, et Al. The development of anorectal continence and its significance in the diagnosis of Hirschsprung's disease. J Pediatr Surg 1976; 11 (2): 151 - 6.
Ito Y,
Benninga MA, Omari TI, Haslam RR, et Al. Characterization of anorectal pressure and the anorectal inhibitory reflex in healthy preterm and term infants. J Pediatr 2001; 139 (2): 233 - 7.
De Lorijin F, Omari TI, Kok JH, et Al. Maturation of the anorectal inhibitory reflex in very premature infants. J Pediatr 2003; 143 (5): 630 - 3.
Noblett HR. A rectal suction biopsy tube for use in the diagnosis of Hirschsprung's disease. J Pediatr Surg 1969; 4: 406 - 9.
Ricciardi R, Counihan TC, Banner BF, Sweeney WB. What is the normal aganglionic segment of anorectum in adults? Dis Colon Rectum 1999; 42: 380 - 2.
Ali AE, Morecroft JA, Bowen JC. Wall or machine suction rectal biopsy for Hirschsprung's disease: a simple modified technique can improve the adequacy of biopsy. Pediatr Surg Int 2006; 22: 681 - 82.
Rees BI, Azmy A, Nigam M et Al. Complications of rectal suction biopsy. J Pediatr Surg 1983; 18: 273 - 5.
Alizai NK, Batcup G, Dixon MF et Al. Rectal biopsy for Hirschsprung's disease: what is the optimum method? Pediatr Surg Int 1998; 13: 121 - 4.
De Lorijn F, Reitsma JB, Voskuijl WP et Al. Diagnosis of Hirschsprung's disease: a prospective, comparative accuracy study of common tests. J Pediatr 2005; 146: 787 - 92.
Loening-Baucke V. Chronic constipation in children. Gastroenterology 1993; 105: 1557 - 64.
Bigelli RH, Fernandes MI, Vicente YA. Anorectal manometry in children with chronic functional constipation. Arq Gastroenterol 2005; 42 (3):178 - 81.
Molnar D, Taitz LS, Urwin OM,
Rosa G, Lolli P, Piccinelli D, Mazzola F, Zugni C, Ballarin A, Bonomo S. Calibrated lateral internal sphincterotomy for chronic anal fissure. Tech Coloproctol 2005; 9(2):127 - 31; discussion 131 - 2.
Sonmez K, Demirogullari B. Randomized, placebo-controlled treatment of anal fissure by lidocaine, EMLA, and GTN in children. J Pediatr Surg 2002; 37 (9): 1313 - 6.
Dupont C, Leluyer B. A dose determination study of polyethylene
glycol
Pini-Prato A, Martucciello G, Jasonni V. Rectal suction biopsy in the diagnosis of intestinal dysganglionoses: 5-year experience with Solo-RBT in 389 patients. J Pediatr Surg 2006; 4: 1043 - 1048.
![]() |
| Appunti su: https:2F2Fwwwappuntimaniacom2Funiversita2Fmedicina2Fil-morbo-di-hirschsprung25php, |
|
| Appunti Bellezza | ![]() |
| Tesine Bambini | ![]() |
| Lezioni Nutrizione | ![]() |