![]() |
|
| Appunti universita |
|
| Visite: 8857 | Gradito: |
Leggi anche appunti:Canali al potassio voltaggio attivatiCanali al potassio voltaggio attivati I canali Intolleranza al lattosioINTOLLERANZA AL LATTOSIO Il lattosio è il principale zucchero del latte prodotto Gravidanza e tossicodipendenza. Correlazioni possibili con l'outcome neonatale. Messa a punto di uno score predittivo. TESI DI LAUREAGravidanza e tossicodipendenza. Correlazioni possibili con l'outcome neonatale. |
![]() |
![]() |
Università degli Studi di Parma
Dottorato in Fisiopatologia Respiratoria Sperimentale
Multicentric Italian Lung
Detection trial (
Relazione tra danno respiratorio e patologie fumo-correlate in soggetti ad alto rischio sottoposti a TAC spirale.
Introduzione
Long term evaluation of Milan Pilot study
Con l'obiettivo di
confermare i risultati favorevoli dei precedenti studi sulla diagnosi precoce
del tumore polmonare mediante TC in una popolazione a rischio, nel giugno del
2000 è stato lanciato uno studio pilota per testare il valore della TC low-dose
eseguita ogni anno, con o senza PET, e dei biomarcatori in una coorte di 1035
volontari (
50 età,
20 pacchi/anno). Il
disegno innovativo dello studio considerava lesioni non sospette I noduli con
dimensione inferiore ai 5 mm e utilizzava l'esame PET in sostituzione
dell'agobiopsia per cutanea per la valutazione di noduli non calcificati con
diametro superiore ai 7 mm dopo valutazione TC, semplificando il workup
diagnostico e migliorando l'accuratezza della TC spirale nella valutazione dei
noduli indeterminati. I risultati a 2 anni, pubblicati su Lancet nel 2003
(1-3), hanno mostrato buoni risultati, confermando la sicurezza della TC
spirale e una elevata proporzione di resezioni complete (95%) e di tumori
riscontrati in stadio I (77%).
Basandoci su questi risultati preliminari nel 2004 abbiamo lanciato uno studio randomizzato sulla diagnosi precoce del tumore polmonare mediante TC spirale, PET e biomarcatori in individui ad alto rischio. Il disegno dello studio aveva come obiettivo la riduzione della mortalità per tumore polmonare e la valutazione della frequenza ottimale con cui eseguire la TC de torace randomizzando i volontari in due braccia: programma ad elevata frequenza con TC spirale eseguita annualmente e programma a basse frequenza con TC spirale eseguita ogni due anni.
I risultati a sei anni dello studio pilota hanno rivelato un quadro differente con un aumento del numero di cancri in stadio avanzato a partire dal terzo anno e una mancata evidenza di riduzione della mortalità per tumore polmonare nella popolazione sottoposta a screening.
Il tasso di mortalità è risulato essere sovrapponibile a quello riportato nei precedenti trials, in particolare è simile a quello riportato da Swensen nel 2005 (4-5). Questo dato è stato confermato dalla metanalisi condotta dal Memorial Sloan-Kattering Cancer Center sui tre studi a singolo braccio: INT, Mayo Clinic e Lee Moffitt Cancer Center (6). Questa meta-analisi non osserva alcuna riduzione della mortalità per tumore polmonare. La TC annuale aumenta di 3-4 volte il numero di neoplasie diagnosticate ma non reduce l'incidenza di tumori in stadio avanzato e di malattia potenzialmente letale. Gli individui con diagnosi di tumore polmonare sono risultati in numero superiore rispetto agli attesi in assenza di un programma di screening e il numero di tumori in stadio avanzato o il numero di decessi è risultato uguale all'atteso (42 osservati vs. 33.4 e 38 osservati vs 38.8, rispettivamente). La meta-analisi pubblicata sul Journal of American Medical Association - JAMA nel 2007, ha avuto grande risonanza nella comunità scientifica e nell'opinione pubblica in quanto i risultati si discostano molto da quelli presentati nello studio condotto dall'International Early Action Lung Cancer Project (I-ELCAP) e pubblicati nel 2006 sul New England Journal of Medicine (7). Secondo questo studio la sopravvivenza a 10 anni dei soggetti con tumore in stadio I riscontrato mediante screening con TC del torace è dell'88%. Nello studio della Mayo clinic così come nel nostro studio pilota, la sopravvivenza dei tumori in stadio I è equivalente a quella dello studio I-ELCAP. La buona sopravvivenza di pochi individui non necessariamente si traduce però in un beneficio globale. Inoltre, l'end point dello studio I-ELCAP è la mortalità specifica per tumore polmonare piuttosto che la mortalità complessiva e i dati si riferiscono essenzialmente all'esame baseline e alla prima valutazione TC dopo il baseline; la maggior parte dei dati dopo il secondo anno non sono valutabili. Il meccanismo responsabile dei dati discordanti tra la sopravvivenza dei tumori in stadio precoce riscontrati allo screening e la mancata variazione della mortalità è che i programmi di screening possono diagnosticare patologie in stadio precoce, a lenta crescita o patologie indolenti ma non possono prevenire patologie aggressive o tumori precocemente metastatici.
Meta-analisi Mayo-Moffit-INT
# tumori decessi
![]()
total 3,246 144 38
Milano 977 36 7
Mayo 1,439 66 19
Moffit 830 42 12
![]()
Tumori attesi osservati p
![]()
totale 45 144 < 0.001
Resezione chirurgica 11 109 < 0.001
Tumori avanzati 33 42 0.14
Decessi 39 38 0.90
![]()
Il dibattito sull'efficacia o meno dello screening nel ridurre la mortalità per tumore polmonare dovrà attendere la conclusione degli studi randomizzati controllati attualmente in corso. Infatti gli studi che non prevedono questo disegno possono definirsi conclusi in tutto il mondo. Per questo motivo nel 2005 abbiamo lanciato uno studio randomizzato controllato chiamato Multicentric Italian Lung Detection trial (MILD), che combina un programma di prevenzione primaria con smoking cessation con la diagnosi precoce e la valutazione del rischio individuale di sviluppo di cancro polmonare.
Multicentric Italian Lung Detection (MILD)
Popolazione
Abbiamo reclutato 3700 soggetti ad alto rischio
fumatori o ex fumatori che non abbiano smesso di fumare da più di dieci anni. I
volontari, di età compresa tra i 49 e i 75 anni, non devono avere anamnesi
positiva per patologia neoplastica, sono ammessi pazienti con tumori della pelle eccetto i
melanomi oppure pazienti affetti da neoplasia con remissione totale da almeno 5
anni. Tutti i volontari hanno firmato un consenso informato per l'inserimento
nello studio. Il
Materiali e Metodi
Protocollo radiologico
Viene impiegata una apparecchiatura TC a 16 strati (Sensation 16 Siemens Medical solutions Germany). Il protocollo dell'indagine TC low dose viene riportato nella tabella sottostante.
|
SENSATION 16 -SIEMENS |
|
|
Posizione paziente |
supino |
|
Limite campo di scansione craniale |
Apice polmone |
|
Limite campo di scansione caudale |
Limite inferiore diaframma (surreni) |
|
Tecnica di scansione |
Spirale |
|
Kv |
|
|
mA |
|
|
T° di scansione (rotazione a 360°) |
0.42 sec |
|
Collimazione |
0,75 mm x16 mm |
|
Velocità di scorrimento del lettino |
18 mm/rotazione |
|
Campo di visione (FOV ) |
280-380 mm |
|
Tempo acquisizione (valori medi ) |
8-10 sec |
|
Set1 )Spessore effettivo/ Indice di ricostruzione |
1 mm/1mm |
|
Set2) Spessore effettivo/ Indice di ricostruzione |
5 mm / 5mm |
|
Dose effettiva equivalente |
0.017mSvmGy‾¹ cm‾¹ x 91mGy‾¹ =1.54mSv |
Le immagini vengono analizzate con una Workstation dedicata, non utilizzata nella routine clinica (Leonardo Siemens), che dispone, tra l'altro, di un software dedicato alla identificazione automatica dei noduli e alla loro valutazione volumetrica computerizzata (LungCare software Siemens). Le immagini, vengono archiviate in un server dedicato, che risponde alla normativa vigente per la sicurezza dei dati. Il protocollo non prevede l'impiego routinario della tecnica di "contrast enhancement" per la valutazione di noduli solidi. La lettura viene eseguita con valori di finestra omogenei: -650/1500-1600 per il parenchima e 25/350 per il mediastino. I risultati della TC vengono valutati su monitor ad alta definizione indipendentemente ed in doppio cieco da due radiologi.
Definizione noduli non calcifici (NNC) o indeterminati
Un nodulo è un'opacità focale non-lineare della densità dei tessuti molli, di forma rotondeggiante, che può essere solido, semi-solido e non-solido. Un nodulo viene definito parzialmente solido se contiene aree di densità tale da oscurare il parenchima polmonare, mentre un nodulo viene definito non-solido (ground glass) se nessuna parte del parenchima è totalmente oscurato dalla lesione. Nell'ambito della distinzione tra parzialmente solido e non-solido, i vasi all'interno del nodulo non devono essere considerati come componente solida.
Un Nodulo < 5 mm viene considerato Non Calcifico se appare uniformemente meno denso delle coste (visualizzato con la finestra per osso e per parenchima).
Un Nodulo di 5-20 mm viene considerato Non Calcifico se le calcificazioni sono meno del 50%, se le calcificazioni non hanno la tipica distribuzione benigna (calcificazioni complete, centrali, lamellari, popcorn), e/o i suoi margini sono spiculati (almeno in qualche parte), se non hanno densità di tipo adiposo, broncogramma aereo o vasi convergenti, e di cui non è nota la cronicità.
Un Nodulo > 20 mm viene sempre considerato Non Calcifico a meno che non sia calcifico completamente.
Definizione di Noduli benigni
Lesioni che mostrano calcificazioni benigne, cioè complete, centrali, lamellari o a popcorn; valori densitometrici di tipo adiposo nel contesto del nodulo (suggestivi per amartoma), noduli noti per avere dimensioni stabili da almeno 12 mesi (cioè che non siano aumentati più del 20%).
In caso di calcificazioni, il nodulo può essere considerato benigno quando:
- il diametro è > 20 mm ed il nodulo è completamente calcificato
- il diametro è < 20 mm e le calcificazioni presentano uno dei tipici pattern benigni ed interessano almeno il 50% del nodulo
Valutazione dell'incremento dimensionale:
Mentre il criterio morfologico costituisce solo un elemento sussidiario, quello dimensionale deve essere considerato l'elemento centrale per l'algoritmo diagnostico dei noduli. La crescita di un nodulo, viene definita un aumento del diametro del nodulo pari ad almeno il 20 % o un incremento di oltre il 50% del volume. A questo riguardo particolare attenzione deve essere rivolta alla metodologia di valutazione delle dimensioni del nodulo. Le dimensioni dei noduli devono essere infatti determinate a monitor mediante il calibro elettronico misurando il diametro medio del nodulo (diametro minimo e massimo/2). Nel caso di noduli ovalari viene suggerito il calcolo del diametro medio della lunghezza e della larghezza. Viene raccomandato, se disponibili, l'impiego di software per la valutazione volumetrica dei noduli, che appaiono di particolare utilità per formazioni nodulari con morfologia irregolare. Costituisce inoltre evidenza di crescita del nodulo anche la trasformazione di un nodulo semi-solido in solido, pur mantenendo un diametro invariato o l'incremento di una componente solida nel contesto di un'area di ground glass.
ESAME TC BASALE
La TC viene considerata negativa se non rileva noduli solidi indeterminati di dimensioni > 5 mm. I soggetti che rientrano in queste caratteristiche, non saranno oggetto di ulteriori indagini e andranno al successivo controllo TC secondo il braccio di randomizzazione previsto. La TC viene considerata positiva nel caso di riscontro di
noduli solidi o parzialmente solidi di diametro > 5 mm
noduli non-solidi (ground glass opacity) con diametro > 8 mm.
Indagini positive
Noduli solidi e parzialmente solidi fra 5 e 8 mm viene programmato controllo TC low dose a 3 mesi per valutazione dell'evoluzione volumetrica.
non incremento si rinvia al controllo TC a bassa dose annuale
incremento PET positiva biopsia
![]()
negativa ulteriore controllo
volumetrico TC a 3 mesi.
Noduli solidi e parzialmente solidi di dimensioni > 8mm eseguiranno PET
PET positiva biopsia
PET negativa ulteriore controllo volumetrico TC a 3 mesi (da valutare eventuale biopsia).
Nodulo non-solido (ground glass opacity) con diametro > 8 mm. ulteriore controllo volumetrico TC a 3 mesi. Per noduli dall'aspetto benigno (polmonite focale) o nel sospetto di infezione antibiotici per 15 gg e controllo TC a 3 mesi. Se non c'è risoluzione o se risoluzione parziale TC a 3 mesi; se si ha risoluzione completa i soggetti verranno nuovamente inseriti nel programma diagnostico dei due bracci di appartenenza.
Un numero di noduli superiori a 6 costituisce in genere un indizio di malattia granulomatosa del polmone, in particolare nel caso di noduli di piccole dimensioni. Comunque nel caso di riscontro di uno o più noduli di dimensioni > 5 mm ci si comporta per questi ultimi con le stesse modalità dei noduli multipli inferiori al numero di 6.
ESAME TC DI FOLLOW-UP
Nel corso di questi esami assume un particolare rilievo il confronto comparativo con l'indagine precedente ed in particolare la progressione dimensionale di noduli dimostrati precedentemente o variazioni delle caratteristiche densitometriche in particolare la comparsa di componenti solide in lesioni a vetro smerigliato.
Nel caso di noduli nuovo riscontro identificati ai controlli:
Noduli <3 mm TC low dose a 6 mesi:
Noduli singoli o multipli di dimensioni > 3 mm ed < 5 mm TC low dose a 3 mesi;
Noduli singoli o multipli di dimensioni > 5 mm ed < 8 mm. Ci sono due opzioni:
a. TC low dose a 3 mesi: se risoluzione completa rinvio al controllo annuale o biennale a bassa dose; se risoluzione parziale TC low dose a 6 mesi, se crescita PET se positiva biopsia
b. Antibiotici a largo spettro per 15 gg TC low dose a 3 mesi: se risoluzione completa TC low dose annuale o biennale; se parziale TC low dose a 3 mesi; se nessuna risoluzione e/o crescita PET se positiva biopsia
Noduli singoli o multipli di dimensioni > 8 mm due opzioni:
a. PET positiva biopsia
negativa controllo volumetrico TC a 3 mesi ( eventuale biopsia)
b. Antibiotici a largo spettro per 15 gg seguite da controllo TC a 3 mesi.
PROTOCOLLO SPIROMETRICO
I test di funzionalità respiratoria sono eseguiti con un spirometro portatile KoKo collegato a un computer per l'analisi dei dati. Sono stati registrati i seguenti parametri [8]:
Capacità vitale forzata (FVC). Misura la quantità di aria che può essere espirata con forza dopo una inspirazione profonda.
Volume espiratorio forzato (FEV). Misura la quantità di aria espirata in maniera forzata e può essere misurata dopo un secondo (FEV1).
Flusso espiratorio forzato 25%- 75%.
Picco di flusso espiratorio (PEF).
Una riduzione del FEV1 si rifletterà su una riduzione del rapporto FEV1/FVC%, tipico di un quadro disfunzionale di tipo ostruttivo. Il valore minimo soglia per FEV1/FVC è circa 70-75% ma il valore esatta dipende anche dall'età del soggetto.
Il rapporto FEV1/FVC% rimane normale o aumenta (> 80%) con una riduzione del FEV1 e della FVC tipico delle patologie di tipo restrittivo.
Una riduzione della FVC e del rapporto FEV1/FVC% rispecchia un quadro disfunzionale di tipo misto.
Classificazione della severità della BPCO
|
I |
LIEVE |
FEV /FVC < 70% FEV = 80% del predetto |
|
II |
MODERATA |
FEV /FVC < 70%; 50% ≤ FEV < 80% del predetto |
|
III |
SEVERA |
FEV /FVC < 70%; 30% ≤ FEV < 50% del predetto |
|
IV |
ESTREMAMENTE SEVERA |
FEV /FVC < 70%; FEV < 30% del predetto o FEV < 50% del predetto con danni respiratori |
Smoking cessation
Circa il 20% dei fumatori sviluppa una BPCO. Circa il 30% dei fumatori (> 10 pack/year) hanno una limitazione del flusso. Sono stati studiati molti metodi per indurre a smettere di fumare e i seguenti sono quelli più comunemente usati anche nel nostro trial MILD.
Counselling
Le persone che hanno un breve colloquio con un medico specialista hanno una probabilità maggiore di rinunciare al fumo. Il modello del CHIEDERE, RACCOMANDARE, VALUTARE, AIUTARE ed ORGANIZZARE è stato creato per aiutare i professionisti con i loro pazienti fumatori. Il medico chiede al paziente le proprie abitudini tabagiche ad ogni appuntamento; raccomanda al paziente di smettere di fumare; valuta la motivazione del paziente a smettere; aiuta il paziente, fornisce materiale e suggerisce una terapia che sostituisca la nicotina; e programma le visite successive. Un numero superiore di persone smettono dopo un counselling rispetto a soggetti che seguono programmi fai da te. [9]
Trattamento farmacologico
I vari trattamenti riescono a far smettere la gente di fumare. I sostituti di nicotina come la gomma, i cerotti, lo spray o l'inalatore del nicotina, antidepressivi come il bupropione o sostanze come la vareniclina, sono stati studiati ed approvati come i trattamenti che contribuiscono a far cessare di fumare la popolazione. E' più probabile che soggetti che usano un sostituto di nicotina riescano a smettere di fumare dopo 6 - 12 mesi rispetto a soggetti che usano un placebo o non utilizzano alcun farmaco.[9-13]
Protocollo di raccolta del sangue
Durante la visita viene raccolto un campione d sangue di 30 ml che viene trasferito in una provetta Falcon (50 ml) contenente EDTA (300 µl EDTA 0.5 M pH 8). Vengono prelevate 5 aliquote da 1 ml di sangue intero che vengono congelate a -80°C. I rimanenti 25 ml vengono usati per la separazione del plasma. Il plasma viene separato dalla frazione cellulata mediante due centrifugazioni a 2500 rpm per 10 min a 4°C. Il supernatante (plasma) è diviso in 9 aliquote da 1 ml per l'analisi genomica e proteomica, per la stima del rischio individuale di cancro al polmone e per l'estrazione del DNA.
Analisi proteomica
Recentemente ha suscitato grande attenzione l'utilizzo di un pannello di diversi biomarkers su sangue come alternativa all'utilizzo di un singolo biomarker per la diagnosi precoce di tumore. Le differenze di profili proteici tra soggetti con cancro e soggetti sani sono rilevate utilizzando algoritmi di estrazione dei dati. Più proteine come un pannello di biomarkers invece di una singola proteina sono impiegate in questo approccio. I profili proteici del plasma e del siero vengono analizzati principalmente con metodica SELDI che ha accorpato la metodica TOF alla spettrometria di massa (MS) [14]. Studi recenti hanno dimostrato che la SELDI-TOF è molto sensibile e specifica nel misurare pannelli di peptidomi. Il Peptidoma è la porzione del proteoma plasmatico a più basso peso molecolare (generalmente definito come peptidi inferiori a di 20000 Da) [15]. La determinazione del profilo delle proteine al SELDI-TOF-MS combina velocità, semplicità, riproducibilità e sensibilità, facendone una tecnologia molto potente. Abbiamo cercato di sfruttare queste caratteristiche nel progettare un nuovo programma diagnostico atto a determinare il profilo plasmatici di soggetti ad alto rischio di insorgenza di cancro al polmone. L'obiettivo di questo studio è la determinazione di specifiche alterazioni proteomiche plasmatiche che distinguono soggetti ad alto rischio con o senza cancro al polmone. Le caratteristiche qualitative e quantitative dei profili saranno correlate con la storia clinica (dati TC e spirometrici o presenza di altre malattie) per sviluppare statisticamente un classificatore che rifletta la presenza e/o il rischio individuale di cancro al polmone. Sono stati valutati diversi modelli Self-teaching, come per una rete neuronale, in grado di aumentare la riproducibilità dei risultati e migliorare le correlazioni. La TC ha una sensibilità estremamente alta ma una specificità bassa nei programmi di diagnosi precoce del tumore polmonare. Quindi con lo scopo di sfruttare sia i vantaggi della TC spirale sia del profilo peptidomico sarebbe utile sviluppare un test di screening che abbia la specificità migliore. Altro obiettivo importante è quello realizzare un test sul profilo peptidomico che può rilevare una malattia pre-clinica con alta sensibilità. Per stabilire la sensibilità della valutazione del profilo individuale nella diagnosi precoce valuteremo anche il plasma di altri soggetti valutati in maniera longitudinale. I dati clinici ottenuti nei tre anni successivi di follow-up saranno utili per definire il rischio di tumore polmonare associato al diverso profilo peptidomico.Ulteriori studi di proteomica sul plasma sono condotti per studiare i componenti relativi alla risposta dell'ospite al tumore e alla risposta di fase acuta. Caratteristica della risposta di fase acuta [16] è l'aumento rapido della produzione di proteine come la amiloide A (SAA) e la proteina C reattiva (CRP), noi abbiamo focalizzato il nostro studio su queste proteine e sulle citochine pro-infiammatorie legate alla loro espressione [17]. Ci riferiamo a molti mediatori rilasciati dai macrofagi che hanno un ruolo importante nell'infiammazione, essendo coinvolti nella fase iniziale e nella persistenza del processo infiammatorio. IL-1ß, IL-6, IL-8, fattore attivante delle piastrine (PAF) e tumor necrosing factor (TNFa) sono i markers rilasciati dai macrofagi che stimolano sia cellule infiammatorie sia la produzione di proteine di fase acute. Sulla base dei nostri studi preliminari, i cambiamenti dell'espressione di SAA e CRP possono essere studiati con SELDI-TOF-MS in parallelo con l'analisi peptidomica del plasma. L'espressione differente di SAA, CRP viene valutata statisticamente in rapporto all'espressione di citochine in ogni specifica condizione clinica per stabilire associazioni con un rischio più alto di cancro al polmone [18].
RISULTATI
I soggetti registrati sono oltre 6000. Oltre 4000 sono i soggetti reclutati. Presso l'Istituto Nazionale Tumori abbiamo reclutato 3487 soggetti (1134 arruolati nel gruppo TC annuale, 1126 arruolati nel gruppo TC ogni due anni e 1227 arruolati nel gruppo di controllo). Abbiamo eseguito 2181 TC spirale low-dose spiral CT e 846 valutazioni nel gruppo di controllo. Abbiamo processato oltre 2900 prelievi ematici per un totale di 40.000 aliquote storate presso la banca tessuti del progetto MILD. Il range di età dei volontari è 49 -75 anni, 321 soggetti di età > 65 anni e 3166 di età <65 anni, 2368 (68%) sono maschi, il consumo medio di tabacco è di 25 sigarette al giorno da almeno 20 anni, circa il 27% sono ex-fumatori. Il numero totale di soggetti con almeno 1 nodulo al baseline è di 1311 (60%), 598 soggetti presentano un solo nodulo, 297 due noduli, 196 tre noduli e 220 più di tre noduli. Il numero totale di noduli è di 2369 suddivisi secondo lo schema riportato nella tabella sottostante.
|
MILD INT |
Baseline |
|
Numero totale di noduli < 50 mm³ mm³ >250 mm³ |
|
Abbiamo identificato 493 lesioni sospette che sono state monitorate con TC di follow-up in accordo con il protocollo radiologico. I casi di tumore polmonare diagnosticati sono 19. I soggetti che hanno eseguito esame PET sono 38, l'esame è risultato positivo in 16 casi dei tumori diagnosticati. L'uso selettivo della PET può risultare utile nel sostituire la biopsia con ago sottile per la diagnosi differenziale.
|
MILD INT |
Baseline |
Year 2 |
|
PET True positive True negative False positive False negative |
|
|
L'esame PET combinato con un algoritmo semplificato di valutazione con TC è utile nel completare il work up diagnostico in pochi mesi. Il falso-negativo è un adenocarcinoma ben differenziato di 11 mm, con componente bronchiolo-alveolare. Un soggetto ha eseguito biopsia toracoscopica video-assistita per la biopsia di una lesione infiammatoria della pleura risultata captante alla PET. Abbiamo eseguito resezione completa in 15 casi di neoplasia polmonare. Otto tumori sono in stadio IA, uno in stadio IB, due in stadio IIIA, uno rispettivamente in stadio IIB e IIIB, e due casi in stadio IV. Sei casi sono spinocellulari, undici casi sono adenocarcinomi e uno è un tumore neuroendocrino a grandi cellule. In un caso non è stato possibile eseguire approccio chirurgico a causa di un importante deficit funzionale che ha richiesto trattamento radiante in prima battuta. Prima del trattamento definitivo abbiamo ottenuto diagnosi istologica di ogni lesione. La procedura standard utilizzata è la toracotomia di minima con risparmio dei piani muscolari seguita da lobectomia radicale e dissezione linfonodale.
Bibliografia
1.Pastorino U, Bellomi M, Landoni C, De Fiori E, Arnaldi P, Picchio M, Pelosi G, Boyle P, Fazio F. Early lung-cancer detection with spiral CT and positron emission tomography in heavy smokers: 2-year results. Lancet. 2003 Aug 23;362(9384):593-7
2.Pastorino U. Early detection of lung cancer. Respiration. 2006;73(1):5-13.
3.Bria E, Ceribelli A, Trovo MG, Gelibter A, Gigante M, Calabro E, Cuppone F, Cognetti F, Terzoli E, Pastorino U. Non-small cell lung cancer: early stages. Ann Oncol. 2006 Mar;17 Suppl 2:ii17-21.
4.Patz EF Jr, Swensen SJ, and Herndon JE II. Estimate of Lung Cancer Mortality From Low-Dose Spiral Computed Tomography Screening Trials: Implications for Current Mass Screening Recommendations. J Clin Oncol 22:2202-2206, 2004.
5.Swensen SJ, Jett JR, Hartman TE, Midthun DE, Mandrekar SJ, Hillman SL, Sykes AM, Aughenbaugh GL, Bungum AO, Allen KL, CT Screening for Lung Cancer: Five-year Prospective Experience 1. Radiology 2005; 235:259-265
6.Bach PB, Jett JR, Pastorino U, Tockman MS, Swensen SJ, Begg CB. Computed tomography screening and lung cancer outcomes. JAMA. Mar 7;297(9):953-61,2007
7.The International Early Lung Cancer Action Program Investigators. Survival of Patients with Stage I Lung Cancer Detected on CT Screening. N Engl J Med 2006;355:1763-71.
8.Rabe KF, Hurd S, Anzueto A, Barnes PJ, Buist SA, Calverley P, Fukuchi Y, Jenkins C, Rodriguez-Roisin R, van Weel C, Zielinski J; Global Initiative for Chronic Obstructive Lung Disease. Global strategy for the diagnosis, management, and prevention of chronic obstructive pulmonary disease: GOLD executive summary. Am J Respir Crit Care Med. 2007 Sep 15;176(6):532-55. Epub 2007 May 16
9.Rennard SI, Daughton DM. Smoking cessation.. Chest : 360-364.
10.Smedslund G, Fisher KJ, Boles SM, Lichtenstein E. The effectiveness of workplace smoking cessation programmes: a meta-analysis of recent studies. Tobacco Control 2004; 13: 197-204.
11.Gonzales D, Rennard SI, Nides M, Oncken C, Azoulay S, Billing CB, Watsky EJ, Gong J, Williams KE, Reeves KR; Varenicline Phase 3 Study Group. Varenicline, an alpha4beta2 nicotinic acetylcholine receptor partial agonist, vs sustained-release bupropion and placebo for smoking cessation: a randomized controlled trial. JAMA. 2006 Jul 5;296(1):47-55.
12.Jorenby DE, Hays JT, Rigotti NA, Azoulay S, Watsky EJ, Williams KE, Billing CB, Gong J, Reeves KR; Varenicline Phase 3 Study Group. Efficacy of varenicline, an alpha4beta2 nicotinic acetylcholine receptor partial agonist, vs placebo or sustained-release bupropion for smoking cessation: a randomized controlled trial. JAMA. 2006 Jul 5;296( ): . Erratum in: JAMA. 2006 Sep 20;296(11):1355.
13.Tonstad S, Tønnesen P, Hajek P, Williams KE, Billing CB, Reeves KR; Varenicline Phase 3 Study Group. Effect of maintenance therapy with varenicline on smoking cessation: a randomized controlled trial. JAMA. 2006 Jul 5;296(1):64-71.
14.Merchant M, Weinberger SR. Recent advancements in surface-enhanced laser desorption/ionization-time of flight-mass spectrometry. Electrophoresis
15.Hortin GL. Proteomics: a new diagnostic frontier. Clin Chem
16.Normolle D et al. Cancer informatics. 2005;1(1): 25-31.
17.Gabay C, Kushner I. Acute-phase proteins and other systemic responses to inflammation. N Engl J Med. (1999);
18.Jensen LE, Whitehead AS. Regulation of serum amyloid A protein expression during the acute-phase response. Biochem. J
Relazione tra danno respiratorio e patologie fumo-correlate in soggetti ad alto rischio sottoposti a TC spirale.
Introduzione e Razionale dello studio
Il fumo di tabacco è il principale fattore che causa danni a livello di funzionalità respiratoria. Infatti gli ossidanti del fumo di sigaretta sono responsabili del danno biologico cronico e degli insulti a livello del DNA, che predispongono all'insorgenza delle alterazioni patologiche associate alla Broncopneumopatia Cronica Ostruttiva (BPCO), nonché del cancro polmonare. Il rapporto fra il fumo, l'ostruzione del flusso aereo e i danni citogenetici è ben riconosciuto ma il loro grado di associazione è altamente variabile tra i fumatori. La suscettibilità al danno tissutale indotto dal fumo varia, infatti, da individuo a individuo e deriva da un'interazione fra l'ospite (per esempio predisposizione genetica, mancanza di α1-antitripsina (AAT), altri fattori genetici, predisposizione fenotipica) ed i fattori ambientali (per esempio il fumo di tabacco, polveri professionali e l'inquinamento atmosferico). Generalmente si ritiene che l'infiammazione cronica contribuisca al processo di carcinogenesi, ma pochi studi epidemiologici hanno esaminato le effettive correlazioni con il rischio di cancro polmonare o altre patologie respiratorie fumo-correlate. Sono diversi gli studi in cui si è evidenziata l'associazione tra l'ostruzione al flusso delle vie aeree e il cancro. Anche l'enfisema, come descritto in molti studi, incrementa il rischio relativo per tumore; si è inoltre evidenziato che nei pazienti candidati a chirurgia per riduzione volumetrica di bolle enfisematose, il riscontro di tumori polmonari è più elevato. Inoltre, si è evidenziato che il rischio per tumore incrementa con il diminuire del FEV1, ma che tale incremento non e' lineare: infatti per esempio se il FEV1 varia dal 100% al 90% il rischio incrementa del 30-60% [1-3].
Il nostro studio ha come obiettivo quello di chiarire se la risposta dell'ospite ai reattanti della fase acuta può essere utile al fine di distinguere i pazienti affetti da cancro polmonare o altre patologie fumo-correlate dagli individui sani. Di conseguenza, è ragionevole studiare se la predisposizione individuale allo sviluppo di patologie fumo-correlate così come le caratteristiche cliniche e patologiche di tali patologie, differisce in base al grado di alterazione della funzionalità respiratoria e del danno strutturale del parenchima polmonare.
Queste alterazioni sono bene evidenziabili mediante Tomografia Computerizzata (TC), esame che ha migliorato le conoscenze anatomo-patologiche delle malattie polmonari fumo correlate. Gli indici di enfisema rilevati con TC riflettono l'anatomia del polmone e rappresentano il modo migliore per valutarne la severità in vivo. In soggetti con enfisema polmonare l'alterazione dei parametri funzionali correla con l'estensione della patologia rilevata con esame TC, anche se solo parte della riduzione della funzionalità respiratoria è attribuibile al grado di estensione dell'enfisema. Lo studio si focalizza sulla quantificazione delle alterazioni morfologiche mediante TC del torace e sul loro potenziale ruolo nell'identificazione e valutazione di patologie fumo-correlate compreso il tumore polmonare. La fase successiva dello studio sarà infatti quella di valutare un'eventuale correlazione tra gli indici di enfisema polmonare e/o riduzione del FEV1 e sviluppo di patologia neoplastica.
BRONCOPNEUMOPATIA CRONICA OSTRUTTIVA (BPCO)

Caratteristiche Radiografiche
L'immagine radiografica dell'enfisema (Fig. 2) si caratterizza per la presenza di tre reperti 7 [6]:
campi polmonari ipertrasparenti o aree focali di ipertrasparenza, dovute alla distruzione del parenchima polmonare (di difficile identificazione).
appiattimento del diaframma, aumento dello spazio retrosternale e sterno incurvato anteriormente, spazi intercostali slargati e orizzontali
presenza di bolle

Fig. 2: Immagine TC di polmone enfisematoso
Nell'enfisema panlobulare, che interessa prevalentemente i lobi inferiori, i segni radiologici dell'iperinsufflazione sono particolarmente evidenti con l'eccezione delle forme lievi il cui quadro radiologico può essere negativo. Nelle forme più progredite si sovrappongono costantemente i quadri dell'ipertensione precapillare e del cuore polmonare. Nell'enfisema centrolobulare, tipico dei fumatori e che interessa prevalentemente i lobi superiori, i segni radiologici dell'iperinsufflazione sono variabili. Il disegno polmonare è caratteristicamente accentuato con vasi a contorni irregolari e sfumati (endoarterite obliterante e fibrosi perivasale). E' però accertato che l'accentuazione del disegno è in rapporto soprattutto a una dilatazione dei rami vasali (la componente broncogena avrebbe minore importanza). L'enfisema parasettale interessa selettivamente le zone adiacenti alla pleura parietale e mediastinica ed è responsabile della formazione di bolle che possono anche rompersi nello spazio pleurico dando origine ad un pneumotorace [7].
TECNICHE RADIOLOGICHE
I pazienti con BPCO presentano specifici cambiamenti morfologici, a livello delle vie aeree centrali e periferiche, del parenchima e della vascolarizzazione polmonare, ben rappresentati dalla Tomografia Computerizzata (TC). La valutazione TC dell'enfisema riflette i corrispondenti dati anatomo-patologici e rappresenta la via migliore per stimare la severità di questa patologia in vivo.
In questa review verranno riassunti i seguenti temi:
l'utilità della TC nella pratica clinica per lo studio della BPCO
lo stato dell'arte attuale dei sistemi di quantificazione TC delle alterazioni associate alla BPCO
il concetto di TC funzionale
La TC può evidenziare ciò che esami clinici e test di funzionalita' polmonare non riescono a rilevare. Infatti un ampio spettro di patologie, che includono le bronchiectasie, alcuni tipi di bronchioliti ed anche pneumopatie interstiziali, sono associate all'ostruzione cronica delle vie aeree. La TC è in grado di rilevare anche l'evidenza dell'enfisema polmonare in fumatori asintomatici con funzionalità polmonare normale. Dati recenti hanno dimostrato che 13/18 soggetti "a rischio" (quello che un tempo era denominato stadio GOLD 0), presentavano enfisema alla TC. Alcuni studi hanno infatti "stressato" l'importanza dell'identificazione e della quantificazione dell'enfisema in pazienti con BPCO in quanto il fenotipo enfisematoso è associato ad una prognosi peggiore [8-9]. E' stata anche dimostrata la predittività della TC: Martinez e coll. [10] hanno dimostrato una sopravvivenza maggiore nei pazienti con severo enfisema ma limitato ai campi polmonari superiori rispetto a quelli nei quali i campi inferiori erano interessati dalla malattia. Inoltre i due principali substrati della BPCO, vale a dire l'enfisema e la malattia delle piccole vie aeree, hanno fenotipi distinti e relazioni differenti con il fumo di sigaretta, che non trovano spesso correlazione con la durata e severità dell'esposizione, suggerendo una complessa interazione gene-ambiente. Le più innovative misurazioni fornite dalla TC (da qui la denominazione di TC quantitativa) permettono di distinguere enfisema e patologia delle vie aeree nei pazienti con BPCO. Inoltre la scansione TC ha ulteriori vantaggi nel determinare l'eterogeneità e la comorbidità nei pazienti con BPCO: è possibile distinguere tra un fenotipo di BPCO associato al fumo (tipicamente caratterizzata da enfisema centrolobulare) da quello causato dal deficit dell' inibitore dell'alfa1-proteinasi (alfa1-antitripsina), e magari dimostrandone anche la coesistenza.
Quantificazione TC dell'enfisema polmonare
La TC viene usata per indagare l'enfisema e il suo grado di severità. La TC discrimina tra i vari tipi di enfisema (centrolobulare, parasettale e panloblare) e l'impiego delle immagini ricostruite con algoritmo a minima intensità (minIP) permette di individuare anche le lesioni enfisematose di minori dimensioni. L'estensione della patologia può essere valutata essenzialmente utilizzando due sistemi: lo score visivo e l'analisi computerizzata [11-12]. Un inconveniente della stima visiva è la misurazione del "rumore" dovuta alla variazione inter-osservatore, bilanciata dalla velocità e dalla semplicità della tecnica. I metodi di quantificazione automatica si basano sull'analisi della densità. La cosiddetta "maschera di densità" rappresenta un punto fermo per l'accertamento e la quantificazione TC dell'enfisema polmonare. In pratica si applica alle immagini TC un intervallo di densità entro il quale tutti i voxels sono considerati enfisema. Utilizzando misurazioni morfometriche del tessuto polmonare, Bankier e coll. [13] dimostrarono che gli osservatori tendevano a sovrastimare l'estensione dell'enfisema alla TC e che invece le misurazioni ottenute con la TC densitometrica correlavano meglio con i riferimenti morfometrici. La "maschera di densità" è usata per caratterizzare l'enfisema lieve, moderato o severo, viene usata per identificare i sottogruppi di pazienti che mostrano vantaggio dalla riduzione chirurgica del volume polmonare ed è anche predittiva della sopravvivenza nell'enfisema indotto da deficit di alfa1-antitripsina. La risoluzione raggiunta dagli apparecchi consente di acquisire volumi polmonari fornendo un'ulteriore miglioramento in termini di "precisione quantitativa". Adesso le analisi forniscono anche una stima regionale (lobare o segmentale) dei parametri esaminati, come il volume totale, il peso, la densità media, l'estensione ed anche il tipo di enfisema. La maschera di densità da sola non è però sufficiente per distinguere tra polmone malato o sano, soprattutto nei casi di patologia iniziale o mista (enfisema e intrappolamento aereo da bronchiolite). Inoltre la TC densiometrica può essere influenzata da diversi fattori (peso, età, grado d'inspirazione ecc.). Si evince quindi che né l'approccio TC visivo né quello densiometrico per la quantificazione dell'enfisema sono perfetti. Analisi più avanzate sembrano avvicinarsi ancora di più alla quantificazione perfetta [14-21].
Pazienti e Metodi
Sono stati esaminati 500 soggetti (402
maschi, range di età : 49-78), fumatori o ex fumatori che non avessero smesso
di fumare da più di dieci anni. I soggetti sono stati reclutati nell'ambito del
Protocollo TC spirale
I parametri TC sono stati i seguenti: 120 Kvp, 20 mAs, tempo di rotazione 0.42 s, collimazione 0.75 mm con ricostruzione a 1 mm. E' stato utilizzato un software che fornisce la densità polmonare e la volumetria. Utilizzando procedure automatiche abbiamo isolate il parenchima polmonare dal mediastino e dalla parete toracica applicando il range di -200 / -1024 HU. Successivamente il polmone è stato diviso in sub-range di densità con una soglia di -910/-1024 HU per l'enfisema e -200/-500 HU per lesioni tumorali, atelettasie o zone di perdita aerea non riferibili a tumori come accade per la fibrosi polmonare. Il computer ha calcolato il volume totale del parenchima polmonare espresso in cm3 e successivamente la porzione di parenchima patologica. Due radiologi hanno valutato le immagini separatamente e i dati sono stati registrati al fine di valutare anche l'agreement tra gli osservatori. Le immagini sono state analizzate in una workstation dedicata (Leonardo Siemens) ed è stato utilizzato un software per la valutazione della crescita volumetrica (LungCare software Siemens).
Quantificazione dell'enfisema mediante TC e software MeVisPulmo
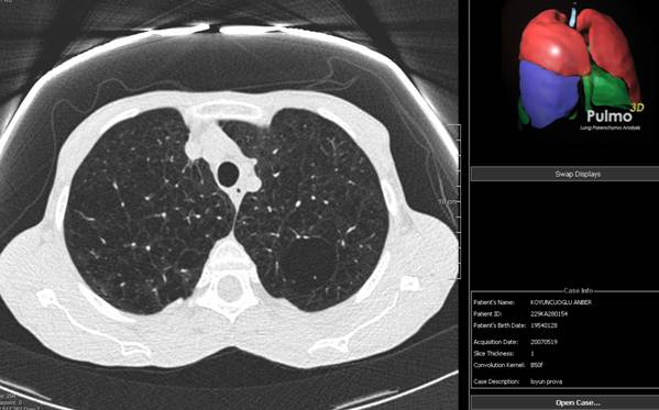
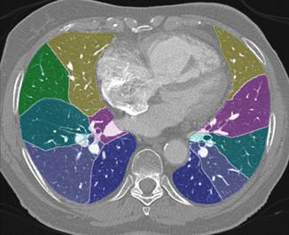
Le TC sono state esaminate mediante l'impiego di un software (MeVisPulmo, Bremen) che consente la misurazione totale del volume polmonare, la densità media, i pixel, il "bulla index" e l'analisi sia qualitativa che quantitativa dell'enfisema polmonare. La valutazione prevede la segmentazione delle vie aeree e del polmone. I dati processati vengono storati come immagini DICOM (Digital Imaging and Communications in Medicine). Alla fine della processazione dei dati i valori vengono visualizzati e trascritti in un report. Le regioni lobari vengono indicate con differenti colori nelle sezioni sagittali, coronali e assiali come indicato nella fig. 3-5.
Figura 3. Scansione TC 3D (postero-anteriore). Albero
tracheobronchiale (azzurro), lobi inferiori (verde), lobi superiori
(rosso). I valori di pixels ≤ a -950 HU (giallo), identificano le
zone di enfisema.


Figura 5. Immagine assiale con ripartizione dei segmenti
polmonari indicati con colori diversi.
Danno funzionale polmonare
Poiché fumo e ostruzione delle vie aeree sono i principali fattori di rischio per l'insorgenza di BPCO, enfisema e cancro polmonare, la loro valutazione è una parte standard della valutazione del paziente. E' risaputo che il grado di infiammazione, fibrosi e di essudato nel lume delle piccolo vie aeree sono correlate con la riduzione del FEV1 e del rapporto FEV /FVC, e probabilmente con il declino accelerato del FEV , caratteristico della BPCO. Nel nostro trial, i test di funzionalità respiratoria sono eseguiti con un spirometro portatile KoKo collegato a un computer per l'analisi dei dati. Sono stati registrati i seguenti parametri: Capacità vitale forzata (FVC). Volume espiratorio forzato un secondo (FEV1). Flusso espiratorio forzato 25%- 75%. Picco di flusso espiratorio (PEF).
Risultati
Nel nostro studio abbiamo analizzato 500 soggetti forti fumatori di cui 62 affetti da BPCO, 126 a rischio (con FEV1≤ 90%) e 312 sani. Dei soggetti affetti da BPCO 3 presentavano BPCO di grado estremamente severo (stadio IV linee GOLD), 21 presentavano BPCO di grado severo (stadio III linee guida GOLD), 34 di grado moderato (stadio II linee guida GOLD) e 4 presentavano BPCO di grado lieve (stadio I linee guida GOLD).
La percentuale media di estensione di enfisema nei soggetti affetti da BPCO non sembra correlare con il grado di gravità della patologia di base. Infatti, i soggetti in stadio I presentavano un percentuale media di enfisema del % (range 5.1-31.5%), i soggetti in stadio II presentavano un percentuale media di enfisema dell'11% (range 1.7-28.4%), i soggetti in stadio III presentavano un percentuale media di enfisema del % (range 0.1-29.5%) e i soggetti in stadio IV presentavano un percentuale media di enfisema del % (range 16.1-19.1%).
Nei 438 soggetti non affetti da BPCO l'estensione media di enfisema risultava significativamente più bassa rispetto ai soggetti affetti da BPCO con una percentuale media di 4.27% (range 0.1-38.2%). Nessuno di questi soggetti presentava una estensione di enfisema di grado severo.
Abbiamo eseguito un confronto delle medie dell'estensione percentuale dell'enfisema tra gruppo BPCO vs sani e gruppo a rischio vs sani. Abbiamo riscontrato sostanziali differenze di enfisema tra i tre gruppi: i fumatori con BPCO avevano un enfisema significativamente più esteso, distribuito più centralmente sul piano assiale e composto da "buchi"di più grosse dimensioni rispetto a quello riscontrato nei fumatori "sani". (Tabella 1)
Tabella 1 - Caratteristiche cliniche dei soggetti
|
|
BPCO |
a rischio con FEV1%<90 |
sani |
|||
|
|
media |
sd |
media |
sd |
media |
sd |
|
Overall total % |
|
|
|
|
|
|
|
Overall core |
|
|
|
|
|
|
|
Overall peel |
|
|
|
|
|
|
|
Rel. Vol. C1 |
|
|
|
|
|
|
|
Rel. Vol. C2 |
|
|
|
|
|
|
|
Rel. Vol. C3 |
|
|
|
|
|
|
|
Rel. Vol. C4 |
|
|
|
|
|
|
|
Core/PeelRatio |
|
|
|
|
|
|
* rispetto alla media nel gruppo dei sani p-value<0.0001
** rispetto alla media nel gruppo dei sani p-value<0.05
L'estensione media di enfisema nel gruppo BPCO risulta di 12.91 (sd 7.65) e nel gruppo a rischio 5.04 (sd 5.01), rispettivamente con una p<0.0001 e <0.05 rispetto alla media nel gruppo dei sani pari a 3.94 (sd 4.17).
Per quanto riguarda il volume delle bolle riscontrate all'esame TC abbiamo riscontrato che il volume medio delle bolle di grado C4 nel gruppo BPCO risulta di 9.98 (sd 8.15) e nel gruppo a rischio di 2.49 (sd 4.36), rispettivamente con una p<0.0001 e <0.05 rispetto alla media nel gruppo dei sani pari a 1.51 (sd 3.43).
Nel gruppo BPCO abbiamo ottenuto un risultato statisticamente significativo anche per il volume di bolle C1, C2 e C3 con un p<0.0001 rispetto alla media nel gruppo dei sani. Abbiamo eseguito un confronto delle medie per quanto riguarda il rapporto Core/Peel tra gruppo BPCO vs sani e gruppo a rischio vs sani.
Il rapporto core/peel nel gruppo BPCO risultava pari a 1.25 (sd 0.40) con una p<0.0001 rispetto al rapporto medio nel gruppo dei sani pari a 0.95 (sd 0.35).
Non abbiamo invece riscontrato alcuna significatività statistica confrontando il rapporto core/peel dei soggetti a rischio vs il rapporto core/peel dei soggetti sani.
Figure 3 - Distribuzione del FEV % nei 62 soggetti con BPCO, nei 126 soggetti a rischio (FEV %<90) e nei 312 soggetti sani.
![]()
Figura 4 - Distribuzione del rapporto core/peel ratio nei 62 soggetti con BPCO, nei 126 subjects a rischio (FEV %<90) e nei 312 soggetti sani.
Inoltre, abbiamo valutato le correlazioni esistenti tra parametri morfologici ottenuti mediante pulmomevis e i parametri funzionali utilizzando il coefficiente di correlazione di Pearson (r). Abbiamo riscontrato una significativa correlazione tra FEV1, Tiffenau e l'estensione dell'enfisema. Ulteriore correlazione è stata riscontrata tra il Core/Peel ratio, il Tiffeneau e l'estensione dell'enfisema. Anche il "bulla index" C1 correlava in maniera significativa con il Tiffeneau e l'estensione dell'enfisema, mentre i "bulla index" C2,C3 e C4 correlavano anche con il FEV1 (Tabella 2 e 3).
Tab 2: correlazioni tra indici di funzionalità respiratoria ed estensione dell'enfisema.
|
Parametri funzionali |
Estensione
Enfisema r |
p |
||
|
FEV |
|
<0.0001 |
||
|
Tiffenau |
|
<0.0001 |
Tab 3: correlazioni tra indici TC e indici di funzionalità respiratoria.
|
Parametri TC |
Tiffenau r p |
FEV r p |
Estensione Enfisema r p |
|
Core/Peel |
<0.0001 |
|
<0.0001 |
|
C1 |
<0.0001 |
|
<0.0001 |
|
C2 |
<0.0001 |
<0.0001 |
<0.0001 |
|
C3 |
<0.0001 |
<0.0001 |
<0.0001 |
|
C4 |
<0.0001 |
<0.0001 |
<0.0001 |
Analizzando la distribuzione dei soggetti con BPCO vs i soggetti sani rispetto alle caratteristiche cliniche e i corrispondenti OR e intervalli di confidenza al 95% abbiamo riscontrato nei soggetti con BPCO un rischio maggiore di enfisema più esteso (odds ratio, OR=33.8 per il terzo vs il primo terzile), di bolle soprattutto di volume C4 (OR=54.9) e di un rapporto Core/Peel più elevato. Questi risultati sono stati riscontrati anche analizzando la distribuzione dei soggetti a rischio vs i soggetti sani ma con un minor potere discriminante tra i due gruppi (Tabella 3 e 4).
Tabella 3 - Distribuzione dei soggetti con BPCO e dei soggetti sani rispetto alle caratteristiche cliniche e corrispondenti OR e intervalli di confidenza al 95%
|
|
BPCO |
sani |
OR (95%) |
OR (95%) |
|
|
N (%) |
N (%) |
||
|
Overall total |
|
|
|
|
|
I terzile |
(32.3) |
(89.1) |
|
|
|
II terzile |
(32.3) |
( 8.4) |
|
|
|
III terzile |
(35.5) |
( 2.6) |
|
|
|
Rel. Vol. C1 |
|
|
|
|
|
I terzile |
(29.0) |
195 (62.9) |
|
|
|
II terzile |
(30.6) |
(13.9) |
|
|
|
III terzile |
(40.3) |
(23.2) |
|
|
|
Rel. Vol. C2 |
|
|
|
|
|
I terzile |
(27.4) |
216 (69.7) |
|
|
|
II terzile |
(37.1) |
(17.4) |
|
|
|
III terzile |
(35.5) |
(12.9) |
|
|
|
Rel. Vol. C3 |
|
|
|
|
|
I terzile |
(17.7) |
219 (70.6) |
|
|
|
II terzile |
(33.9) |
(14.8) |
|
|
|
III terzile |
(48.4) |
(14.5) |
|
|
|
Rel. Vol. C4 |
|
|
|
|
|
I terzile |
(32.3) |
282 (91.0) |
|
|
|
II terzile |
(32.3) |
( 7.4) |
|
|
|
III terzile |
(35.5) |
( 1.6) |
|
|
|
Core/Peel Ratio |
|
|
|
|
|
I terzile |
(32.3) |
194 (62.2) |
|
|
|
II terzile |
(33.9) |
(26.6) |
|
|
|
III terzile |
(33.9) |
(11.2) |
|
|
I terzili sono calcolati rispetto alla distribuzione dei soggetti con BPCO
° categoria di riferimento
* aggiustato per sesso e età
** aggiustato per sesso, età, bmi, tosse, anni fumo, sigarette
Tabella 4 - Distribuzione dei soggetti a rischio (con FEV %<90) e dei soggetti sani rispetto alle caratteristiche cliniche e corrispondenti OR e intervalli di confidenza al 95%
|
|
a rischio |
sani |
OR (95%) |
OR (95%) |
|
N (%) |
N (%) |
|||
|
Overall total |
|
|
|
|
|
I terzile |
(32.5) |
(36.7) |
|
|
|
II terzile |
(33.3) |
(43.1) |
|
|
|
III terzile |
(34.1) |
(20.3) |
|
|
|
Rel. Vol. C1 |
|
|
|
|
|
I terzile |
(30.4) |
115 (37.1) |
|
|
|
II terzile |
(32.0) |
(28.7) |
|
|
|
III terzile |
(37.6) |
106 (34.2) |
|
|
|
Rel. Vol.C2 |
|
|
|
|
|
I terzile |
(21.6) |
103 (33.2) |
|
|
|
II terzile |
(44.0) |
126 (40.6) |
|
|
|
III terzile |
(34.4) |
(26.1) |
|
|
|
Rel. Vol. C3 |
|
|
|
|
|
I terzile |
(32.8) |
132 (42.6) |
|
|
|
II terzile |
(27.2) |
(28.1) |
|
|
|
III terzile |
(40.0) |
(29.4) |
|
|
|
Rel. Vol. C4 |
|
|
|
|
|
I terzile |
(27.2) |
106 (34.2) |
|
|
|
II terzile |
(37.6) |
137 (44.2) |
|
|
|
III terzile |
(35.2) |
(21.6) |
|
|
|
Core/Peel Ratio |
|
|
|
|
|
I terzile |
(32.5) |
(28.8) |
|
|
|
II terzile |
(34.1) |
109 (34.9) |
|
|
|
III terzile |
(33.3) |
113 (36.2) |
|
|
I terzili sono calcolati rispetto alla distribuzione dei soggetti a rischio
° categoria di riferimento
* aggiustato per sesso e età
** aggiustato per sesso, età, bmi, tosse, anni fumo, sigarette
Discussione
Anche se i criteri diagnostici delle Linee GOLD attualmente non prevedono l'impiego della TC [4] nella valutazione dei pazienti, un numero sempre maggiore di lavori scientifici attesta che la TC può giocare un ruolo chiave per la comprensione dei meccanismi fisio-patologici della BPCO. È utile, infatti, disporre di un metodo obiettivo per valutare la distribuzione regionale dell'enfisema poiché può influenzare la mortalità dei pazienti e la valutazione della distribuzione dei cluster è utile nel rivelare la progressione delle lesioni a carico del parenchima polmonare.
Nessuno studio ha analizzato finora il ruolo delle variazioni morfologiche dell'enfisema e i cambiamenti nella sua distribuzione regionale in soggetti a rischio sottoposti a un programma di screening. Il nostro studio dimostra che l'ostruzione al flusso delle vie aeree in soggetti sottoposti a programma di screening è correlato con diverse caratteristiche morfologiche identificate alla TC. La correlazione tra estensione totale dell'enfisema e la severità dell'ostruzione al flusso aereo è ben riconosciuta. Tuttavia molti soggetti con ostruzione a carico delle vie respiratorie, misurata con prove funzionali, presentano un enfisema apparentemente limitato alla TC [11, 22-31]. Altri studi non hanno dimostrato un rapporto diretto fra distruzione della parete alveolare e la severità dell'ostruzione al flusso aereo [32-35], suggerendo che l'estensione dell'enfisema non sia l'unica anomalia morfologica che causa l'ostruzione del flusso.
Questo studio si differenzia per diversi aspetti da quelli già presenti in letteratura che hanno valutato la correlazione tra danno morfologico e alterazione dei parametri funzionali. E' il primo studio ad utilizzare in maniera sistematica un software automatico, sensibile e avanzato, per l'analisi dell'enfisema in una popolazione sottoposta a screening per tumore polmonare. Gli studi precedenti, infatti, si basano sull'individuazione dell'enfisema mediante score visivo che, pur correlandosi bene con i dati funzionali, si limita all'analisi di sole tre fette del parenchima e non di tutto il volume polmonare come abbiamo effettuato nel nostro studio. Gli studi precedenti hanno comunque concluso che lo score visivo correla bene con i dati funzionali quanto quello automatico ma bisogna tenere in considerazione che questi studi hanno come popolazione soggetti con enfisema di grado moderato severo, alterazioni morfologiche che l'occhio di un radiologo esperto riesce a cogliere bene. La popolazione oggetto del nostro studio, invece, è costituita prevalentemente da fumatori senza BPCO e siamo riusciti a dimostrare come un esame TC può rivelare la presenza di enfisema polmonare anche in fumatori asintomatici senza alcuna anomalia alle prove di funzionalità respiratoria. La valutazione ottenuta con il Mevis permette un'analisi (lobare o segmentale) appropriata dei parametri TC del parenchima polmonare: volume totale, densità media, indice pixel e un tipo di enfisema
Questo studio enfatizza il ruolo della riduzione del FEV1 nell'insorgenza di progressive alterazioni morfologiche. Infatti, nel nostro studio abbiamo riscontrato come la percentuale di estensione di enfisema aumenti in relazione al grado di compromissione funzionale. Inoltre, abbiamo riscontrato come la distribuzione delle alterazioni morfologiche manifesti una progressione dalle regioni periferiche del parenchima verso le regioni centrali in relazione al danno funzionale e come a diversi tipi di alterazioni funzionali corrispondano diversi fenotipi di enfisema. La fenotipizzazione dei soggetti con alterazioni morfologiche rilevate mediante TC risulta essere molto utile in quanto è possibile rivelare ciò che gli esami clinici e le prove di funzionalità respiratoria spesso non possono. Infatti, la valutazione funzionale non può sempre distinguere tra anomalie dovute all'enfisema da quelle dovute a malattie delle vie aeree. La capacità di separare la componente aerea da quella parenchimale può risultare utile nell'applicazione delle terapie specifiche destinate a prevenire o migliorare il rimodellamento delle vie aeree o la distruzione parenchimale. Risultati recenti precisano inoltre come sia importante identificare e misurare l'enfisema in pazienti con BPCO poiché il fenotipo enfisematoso è associato con una malattia più severa [8-9]. Inoltre è stato evidenziato che la distribuzione TC dell'enfisema è in grado di predire la mortalità, con una migliore sopravvivenza nei pazienti con enfisema più esteso nelle regioni superiori rispetto alle zone più basse del polmone [10]. La TC contribuisce a distinguere malattie che causano ostruzione al flusso aereo e può svelare le forme meno comuni di patologie polmonari ostruttive, che spesso non sono diagnosticate in maniera adeguata. Una definizione migliore della patologia di base è cruciale per ridurre la variabilità della risposta terapeutica nei pazienti con BPCO.
Questa discussione si riferisce ai dati preliminari sui primi 500 soggetti sottoposti a screening di cui abbiamo analizzato in maniera quantitativa e qualitativa l'esame TC del torace. Questi dati ci dimostrano che un esame TC può differenziare morfologicamente diverse popolazioni di fumatori, suggerendo un suo impiego anche per identificare soggetti a rischio maggiore di sviluppare patologie fumo-correlate. Studi recenti infatti hanno dimostrato una forte associazione tra alterazioni morfologiche diagnosticate alla TC e aumento del rischio di sviluppo di cancro polmonare anche in soggetti senza limitazione funzionale. Il disegno definitivo dello studio prevede il confronto tra tre diverse popolazioni (soggetti sottoposti a screening senza cancro, soggetti con tumore screening-detected e soggetti con tumore non screening-detected) con l'obiettivo di valutare se le alterazioni morfologiche e la riduzione della funzionalità respiratoria siano fattori di rischio per lo sviluppo di cancro polmonare e se esista un particolare valore cut-off a cui corrisponda un incremento decisivo del rischio di insorgenza di patologia neoplastica polmonare [1-3].
Bibliografia
Kuller LH. Relation of forced expiratory volume in one second (FEV1) to lung cancer mortality in the Multiple Risk Factor Intervention Trial. Am J Epidemiol 1990 132(2):265-74
Wassawa-Kintu S. Relationship between reduced forced expiratory volume in one second and the risk of lung cancer: a systemic review and meta-analysis. Thorax 2005; 60;570-575
Mannino DM. Low lung function and incident lung cancer in the Unitet States:data From the First national Health and Nutrition Examination Survey follow-up. Arch Inten Med
Lopez AD, Shibuya K, Rao C, Mathers CD, Hansell AL, Held LS, et al. Chronic obstructive pulmonary disease: current burden and future projections. Eur Respir J 2006;27(2):397-412.
Luisetti M, E' ancora valido il concetto dello squilibrio Proteasi/Antiproteasi nella patogenesi
dell'Enfisema Polmonare? Chest ed. Italiana 2002; 4:1-2.
Webb W, Muller N, Naidich D: HRTC of the lung 71-192, Lippincott, Philadelphia, 2001
Webb WR. Radiology of obstructive pulmonary disease. AJR 1997; 169: 637-47.
Boschetto P, Miniati M, Miotto D, Braccioni F, De Rosa E, Bononi I, Papi A, Saetta M,
Fabbri LM, Mapp CE. 2003. Predominant emphysema phenotype in chronic obstructive
pulmonary. Eur.Respir.J.
Boschetto P, Quintavalle S, Zeni E, Leprotti S, Potena A, Ballerin L, Papi A, Palladini G,
Luisetti M, Annovazzi L, Iadarola P, De Rosa E, Fabbri LM, Mapp CE. Association between
markers of emphysema and more severe chronic obstructive pulmonary disease. Thorax 2006,
61: 1037-1042.
Martinez FJ, Foster G, Curtis JL, Criner G, Weinmann G, Fishman A, DeCamp MM, Benditt J, Sciurba F, Make B, Mohsenifar Z, Diaz P, Hoffman E, Wise R; NETT Research Group. Predictors of mortality in patients with emphysema and severe airflow obstruction. Am.J.Respir.Crit Care Med 2006, 173: 1326-1334.
Muller NL. "Density Mask": an objective method to quantitate emphysema using computed tomography. Chest 1988; 94: 782-7.
Goldin JG. Quantitative CT of the lung. Radiol Clin North Am 2002; 40(1): 145-62.
Bankier AA, De Maertelaer V, Keyzer C, Gevenois PA. Pulmonary emphysema: subjective visual grading versus objective quantification with macroscopic morphometry and thin-section CT densitometry. Radiology
Muller NL, Staples CA, Miller RR, Abboud RT. 'Density mask'. An objective method to quantitate emphysema using computed tomography. Chest 1988, 94: 782-787.
Nakano Y, Muro S, Sakai H, Hirai T, Chin K, Tsukino M, Nishimura K, Itoh H, Paré PD, Hogg JC, Mishima M. Computed tomographic measurements of airway dimensions and emphysema in smokers. Correlation with lung function. Am.J.Respir.Crit Care Med
Newell JD Jr, Hogg, JC, Snider GL 2004. Report of a workshop: quantitative computed tomography scanning in longitudinal studies of emphysema. Eur.Respir.J., 23: 769-775.
O'Brien C, Guest PJ, Hill SL, Stockley RA. Physiological and radiological characterisation of patients diagnosed with chronic obstructive pulmonary disease in primary care. Thorax 2000, 55: 635-642.
Orlandi I, Moroni C, Camiciottoli G, Bartolucci M, Pistolesi M, Villari N, Mascalchi M. Chronic obstructive pulmonary disease: thinsection CT measurement of airway wall thickness and lung attenuation. Radiology 2005, 234: 604-610.
Patel B, Make B, Coxson HO, Muller NL, Pillai S, Anderson W, Silverman E, Lomas D.. Airway and parenchymal disease in chronic obstructive pulmonary disease are distinct phenotypes. Pro Am Thorac Soc 2006, 3: 533.
Remy-Jardin M, Edme JL, Boulenguez C, Mastora I, Sobaszek A. Longitudinal follow-up study of smoker's lung with thin-section CT in correlation with pulmonary function tests. Radiology 2002, 222: 261-270.
Zompatori M, Fasano L, Mazzoli M, Sciascia N, Cavina M, Pacilli AM, Paioli D. Spiral CT evaluation of pulmonary emphysema using a low-dose technique. Radiol.Med 2002, vol. 104: 13-24.
Berger P, Laurent F, Begueret H, Perot V, Rouiller R, Raherison C, Molimard M, Marthan R, Tunon-de-Lara JM. Structure and function of small airways in smokers: relationship between air trapping at CT and airway inflammation. Radiology 2003, 228: 85-94.
Copley SJ, Wells AU, Muller NL, Rubens MB, Hollings NP, Cleverley JR, Milne DG, Hansell DM. Thin-section CT in obstructive pulmonary disease: discriminatory value. Radiology 2002, 223: 812-819.
de Jong PA, Muller NL, Paré PD, Coxson HO. Computed tomographic imaging of the airways: relationship to structure and function. Eur Respi .J 2005, 26: 140-152.
Desai SR, Hansell DM, Walker A, MacDonald SL, Chabat F, Wells AU. Quantification of emphysema: a composite physiologic index derived from CT estimation of disease extent Eur Radiol
Gurney JW, Jones KK, Robbins RA, Gossman GL, Nelson KJ, Daughton D, Spurzem JR, Rennard SI. Regional distribution of emphysema: correlation of high-resolution CT with pulmonary function tests in unselected smokers. Radiology
Hasegawa M, Nasuhara Y, Onodera Y, Makita H, Nagai K, Fuke S, Ito Y, Betsuyaku T, Nishimura M. Airflow limitation and airway dimensions in chronic obstructive pulmonary disease. Am J Respir Crit Care Med 2006, 173: 1309-1315.
Hoffman EA, Simon BA, McLennan G. 2006. State of the Art. A structural and functional assessment of the lung via multidetector-row computed tomography: phenotyping chronic obstructive pulmonary disease. Proc.Am.Thorac.Soc., 3: 519-532.
Hogg JC, Chu F, Utokaparch S, Woods R, Elliott WM, Buzatu L, Cherniack RM, Rogers RM, Sciurba FC, Coxson HO, Paré PD. The nature of small-airway obstruction in chronic obstructive pulmonary disease. N.Engl.J.Med 2004, 350: 2645-2653.
Kitaguchi Y, Fujimoto K, Kubo K, Honda T.. Characteristics of COPD phenotypes classified according to the findings of HRCT. Respir Med 2006, 100: 1742-1752.
Kuwano K, Matsuba K, Ikeda T, Murakami J, Araki A, Nishitani H, Ishida T, Yasumoto K, Shigematsu N. The diagnosis of mild emphysema. Correlation of computed tomography and pathology scores'. Am Rev Respir Dis 1990, 141: 169-178.
Grenier PA. Detection of altered lung physiology. Eur Radiol 2005, 15: 42-47.
Grenier PA, Beigelman-Aubry C, Fetita C, Prêteux F, Brauner MW, Lenoir S. New frontiers in CT imaging of airway disease. Eur Radiol 2002, 12: 1022-1044.
Aziz ZA, Wells AU, Desai SR, Ellis SM, Walker AE, MacDonald S, Hansell DM.. Functional impairment in emphysema: contribution of airway abnormalities and distribution of parenchymal disease. AJR Am J Roentgenol
Kuhnigk JM, Dicken V, Zidowitz S, Bornemann L, Kuemmerlen B, Krass S, Peitgen HO, Yuval S, Jend HH, Rau WS, Achenbach T. Informatics in radiology (infoRAD): new tools for computer assistance in thoracic CT. Part 1. Functional analysis of lungs, lung lobes, and bronchopulmonary segments'. Radiographics 2005, 25: 525-536.
![]() |
| Appunti su: segmenti polmonari, albero tracheo bronchiale tc, segmenti polmonari in tc, segmenti polmonari in tac, segmenti tc polmonare, |
|
| Appunti Nutrizione | ![]() |
| Tesine Bellezza | ![]() |
| Lezioni Bambini | ![]() |