![]() |
|
| Appunti universita |
|
| Visite: 2582 | Gradito: |
Leggi anche appunti:Malattie del MiocardioMalattie del Miocardio Il cuore pesa, nell'uomo 300-350 g e nella donna 250-300 ScabbiaScabbia È causata dalla femmina di un acaro (sarcoptes scabiei), che scava Sindrome di Franceschetti-Klein o Treacher Collins o disostosi mandibolo-faccialeSindrome di Franceschetti-Klein o Treacher Collins o disostosi mandibolo-facciale |
![]() |
![]() |
CARDIOPATIA REUMATICA
La cardiopatia reumatica è una delle manifestazioni della febbre reumatica a seguito di infezione streptococcica beta-emolitico di gruppo A.
L'incidenza della malattia è del 3% della popolazione generale.
Inquadramento clinico della febbre reumatica
La patologia è caratterizzata da:
a) febbre;
b) artralgia;
c) poliartrite a carattere migrante;
d) cardite;
e) noduli sottocutanei;
f) Corea di Sydenham o corea minor, disordine neurologico che si manifesta con movimenti rapidi e involontari;
La diagnosi viene fatta con i criteri di Jones con presenza di 2 criteri maggiori o di un criterio maggiore e di uno minore.
N.B. La cardiopatia reumatica è caratterizzata da alterazioni fibrose valvolari deformanti ( in genere stenosi mitralica).
Morfologia:
In corso di febbre reumatica:
disseminazione di lesioni
infiammatorie, a focolai, in numerosi organi e tessuti. Le più caratteristiche
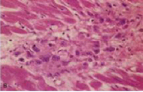
lesioni cardiache sono i corpi di Aschoff. Essi sono formati da aree di
necrosi fibrinoide, circondati da linfociti, macrofagi, occasionali
plasmacellule ed istiociti rigonfi
attivati, chiamati cellule di Anitschkow e di Aschoff.
CELLULE DI ANITSCHKOW E DI ASCHOFF: sono patognomiche per la
malattia. Hanno un citoplasma abbondante amfofilo, nucleo centrale e rotondo,
cromatina disposta a nastro ondulato, da questo il nome di cellule "a forma di bruco"
Le cellule più grandi multinucleate prendono il nome di cellule di Aschoff. Esse si
repertano sia nel pericardio che nell'endocardio. In tal caso si parla di pancardite.
A livello del pericardio: tessuto fibro-adiposo sottosieroso con essudato pericardico fibrinoso o sierofibrinoso.
A livello del miocardio: corpi di Aschoff sparsi nel connettivo interstiziale
A livello dell'endocardio e delle valvole cardiache: focolai infiammatori con struttura differente. Sulle cuspidi e sulle corde tendinee: necrosi fibrinoide + vegetazioni friabili (verruche) lungo i margini di chiusura
VERRUCHE CARDIACHE: dovute a deposizione di fibrina a livello di erosioni endocardiche flogosate che vanno in contro a organizzazione.
Le lesioni subendocardiche possono dar vita inspessimenti irregolari: placche di MacCallun
Durante cardiopatia reumatica cronica:
organizzazione del processo infiammatorio acuto endocardico porta a deformazione fibrosa permanente dei lembi valvolari che divengono ispessiti
valvola mitrale sempre deformata (ispessimento dei lembi, fusione delle commissure, accorciamento e ispessimento delle corde tendinee.
LA FIBROSI DIFFUSA E LA NEOVASCOLARIZZAZIONE MODIFICANO L'ORIGINARIA STRUTTURA ANATOMICA DELLE VALVOLE A STRATI.
I corpi di Aschoff vanno in contro a cicatrizzazione fibrosa.
LA FEBBRE REUMATICA E' SENZA DUBBIO LA CAUSA PIU' FREQUENTE DI STENOSI MITRALICA (99%)


Degenerazioni anche se meno gravi possono colpire anche la tricuspide.
STENOSI MITRALICA dilatazione dell'atrio sx e dell'atrio dx

CONGESTIONE
POLMONARE
IPERTROFIA VENTRICOLARE DX
Patogenesi:
le manifestazioni derivano da una reazione di ipersensibilità indotta dagli Streptococchi di gruppo A.
Anticorpi diretti contro la proteina M di alcuni Streptococchi cross-reagiscono con alcune glicoproteine del cuore, delle articolazioni e di altri organi.
L'esordio dei sintomi è 2-3 settimane dopo l'infezione primaria
possibile suscettibilità genetica.
Decorso clinico:
La FR insorge da 10 giorni a 6 settimane dopo l'episodio di faringite.
Di solito si manifesta in bambini in età scolare.
Il dosaggio degli anticorpi contro uno o più enzimi streptococcichi dà la positività alla malattia.
Inizio della malattia: poliartrite migrante accompagnata da febbre
articolazioni doloranti e gonfie
sfregamenti pericardici
deboli soffi cardiaci
cardite acuta tachicardia
aritmie
Dopo la prima manifestazione la suscettibilità alla riattivazione è aumentata.
Complicanze:
endocarditi infettive;
soffi cardiaci;
ipertrofia
insufficienza cardiaca
trombi e emboli
Prognosi: risulta molto variabile
Terapia: sostituzione chirurgica delle valvole lese

![]() |
| Appunti su: corpi di aschoff, |
|
| Appunti Nutrizione | ![]() |
| Tesine Bellezza | ![]() |
| Lezioni Bambini | ![]() |