![]() |
|
| Appunti universita |
|
| Visite: 1483 | Gradito: |
Leggi anche appunti:Esami strumentali di comune utilizzo in ortopedia e traumatologiaESAMI STRUMENTALI DI COMUNE UTILIZZO IN ORTOPEDIA E TRAUMATOLOGIA Nel 1895, Multiple organ failure syndrome ( mofs)MULTIPLE ORGAN FAILURE SYNDROME ( MOFS) Definizione La MOFS è stata AlbinismoALBINISMO Che cos'è la melanina? La melanina è il pigmento colorato della |
![]() |
![]() |
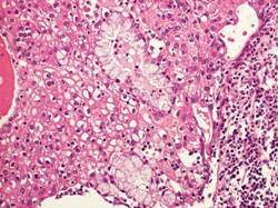
Carcinoma Mucoepidermoide
Neoplasia maligna delle ghiandole salivari caratterizzata da cellule mucoidi, intermedie, ed
epidermoidi, con cellule chiare, colonnari ed aspetti "oncocitoidi"
WHO, 2005)
Neoplasia maligna molto frequente
Colpisce sia le ghiandole maggiori che le minori intraorali
Forme a basso ed ad alto grado
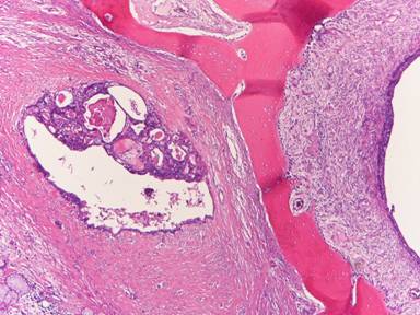
Carcinoma Mucoepidermoide a Basso Grado
Colpisce pazienti Giovani
Compare anche età pediatrica
E frequentemente Cistico
Da ricordare che è la forma di cisti parotidea più frequente in bambini sotto i 10 anni.
Crescita lenta va posto in diagnosi differenziale clinica con neoplasie benigne)
Intervento chirurgico radicale comporta una Buona prognosi
Carcinoma Mucoepidermoide ad Alto grado
Colpisce pazienti Anziani
In genere è solido e NON cistico
Frequentemente determina paralisi del facciale
Crescita rapida
Intervento chirurgico importante ma
La Prognosi è infausta nonostante la terapia
Aspetto istologico:
Il carcinoma mucoepidermoide è composto da vari tipi di cellule:
Cellule Basaloidi,
Cellule Intermedie,
Cellule Epidermoidi,
Cellule Colonnari,
Cellule Mucoidi,

PROGNOSI
IMPORTANTE LO STAGING = STADIO ALLA PRESENTAZIONE SIA PER FORME AD ALTO CHE A BASSO GRADO
Nell immagine sottostante è riportato un caso di carcinoma mucoepidermoide a basso grado che infiltra il tessuto osseo, per ricordare che anche le forme di basso grado hanno capacità invasiva. L intervento chirurgico tempestivo è importante.
A PARITA' DI Staging
Importanza prognostica del grading istologico = suddivisione in forme ad alto e basso grado
Sono stati proposti vari sistemi, tra questi il più usato è il sistemate di Grading di
Auclair and Goode che si basa sui seguenti parametri:
Componente cistica,
atipie cellulari
Mitosi atipiche
Necrosi.
![]() |
| Appunti su: carcinoma mucoepidermoide a basso grado trigono, |
|
| Appunti Bellezza | ![]() |
| Tesine Nutrizione | ![]() |
| Lezioni Bambini | ![]() |