![]() |
|
| Appunti universita |
|
| Visite: 1662 | Gradito: |
Leggi anche appunti:EmofiliaEMOFILIA Forme comuni di disordini emorragici ereditari causate da deficit di Malattie da ipersensibilita'MALATTIE DA IPERSENSIBILITA' Causate da antigeni che stimolano ripetutamente Il virus "delta"IL VIRUS "DELTA" · Non è in grado di |
![]() |
![]() |
CARCINOMA ADENOIDOCISTICO
Tumore basaloide caratterizzato da cellule epiteliali e mioepiteliali, organizzate in configurazioni morfologiche variabili, che comprendono pattern di crescita tubulare, cribriforme e solido. Ha una crescita lenta, ma progressiva, che può essere fatale
WHO, 2005 .
Il carcinoma adenoidocistico veniva chiamato, in passato: Cilindroma. Questo termine non è corretto, pertanto non va usato nelle neoplasie delle ghiandole salivari. Il termine è rimasto ma solo ad indicare una neoplasia benigna degli annessi cutanei che non ha nulla a che fare con il carcinoma adenoidocistico.
Il Carcinoma adenoidocistico è una neoplasia frequente
Colpisce prevalentemente pazienti adulti
Maschi e Femmine in eguale misura.
Colpisce ghiandole salivari maggiori e minori
Il 70% insorge nelle ghiandole salivari minori e nella ghiandola sotto linguale.
Pertanto è Frequente nel cavo orale
Presentazione
Nodulo di dimensioni variabili
INIZIALMENTE NON E' ULCERATO.
Cresce lentamente, e TARDIVAMENTE diventa ULCERATO.
Infiltra i nervi

Talvolta, soprattutto se insorge nel lobo parotideo profondo, può infiltrare il nervo facciale, prima che sia evidente una neoformazione clinicamente rilevabile.
All'esame istologico il carcinoma adenoidocistico è costituito da
cellule epiteliali,
cellule mioepiteliali,
cellule basali
Tali cellule si aggregano a formare strutture diverse. Sulla base dell architettura è possibile
formulare un grading:
Architettura Tubulare: grado I
Architettura Cribriforme: grado II
Architettura Solida: grado III
Talvolta è difficile porre la diagnosi differenziale tra carcinoma adenoidocistico e Adenocarcinoma polimorfo di basso grado PLGA), soprattutto se stiamo esaminando biopsie incisionali, pre-operatorie.
La diffusa Positività per c-kit (CD117) caratteristica del carcinoma adenoidocistico è utile per dirimere tale diagnosi differenziale.
Prognosi
Cresce lentamente
Possibilità di metastasi tardive
Sopravvivenza a 5 anni = 76%
Sopravvivenza a 12 anni = 33%
Importanza della diagnosi precoce
In conclusione il carcinoma adenoidocistico è una Neoplasia maligna a lenta crescita, che comporta una PROGOSI INFAUSTA A LUNGO TERMINE.
Descritta recentemente una nuova variante del carcinoma adenoidocistico: Carcinoma adenoidocistico dedifferenziato
Questo ultimo va riconosciuto in quanto presenta Prognosi infausta a breve termine.
Il Carcinoma adenoidocistico dedifferenziato è caratterizzato dai seguenti aspetti: Crescita solida di cellule con atipie e necrosi. Inoltre si osservano:
Aumenta l'espressione di c-kit
Aumenta l'espressione di p53
Aumenta l'espressione di ki67
Si perde la positività per marcatori di mioepitelio
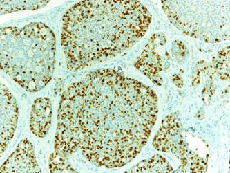
Nell immagine sottostante è un caso di carcinoma adenoidocistic dedifferenziato colorato con il marcatore di proliferazione Ki67. Le cellule con nucleo marrone sono le cellule in attiva replicazione.
![]() |
| Appunti su: |
|
| Appunti Bellezza | ![]() |
| Tesine Bambini | ![]() |
| Lezioni Nutrizione | ![]() |