![]() |
|
| Appunti superiori |
|
| Visite: 2396 | Gradito: |
Leggi anche appunti:Gli agenti mutageniGLI AGENTI MUTAGENI I mutageni sono quegli agenti che causano delle mutazioni LofoforatiLOFOFORATI Briozoi L'utilizzo degli enzimi per il "controllo ambientale"L'utilizzo degli enzimi per il "controllo ambientale" Come detto, gli enzimi |
![]() |
![]() |
Rigenerazione e cellule staminali adulte
La caratteristica principale di questi animali risiede nelle loro capacità rigenerative: a differenza degli animali più evoluti, le planarie, in seguito ad un trauma, non vanno incontro a processi di cicatrizzazione, ma rigenerano le parti mancanti grazie ad una popolazione di cellule staminali adulte pluripotenti, i neoblasti, che, da uno stato indifferenziato, si differenziano in cellule tipiche della struttura da riparare. Le planarie sono capaci di rigenerare lungo tutti gli assi del corpo e di ricreare l'intero organismo a partire da minuscoli frammenti, pari a 1/279 del loro corpo.
Grazie a questa peculiarità, le planarie sono un organismo modello per lo studio in vivo sulle cellule staminali adulte: negli organismi più complessi, infatti, questo tipo di cellule sono generalmente rare nell'adulto, poiché disperse a livello dei tessuti differenziati dove rappresentano una fondamentale risorsa per garantire il corretto turnover cellulare e l'omeostasi tissutale.
I neoblasti sono le uniche cellule proliferanti in planaria, capaci di autorinnovarsi illimitatamente e di dare origine a tutti i tipi cellulari differenziati, sia della linea somatica sia di quella germinale.
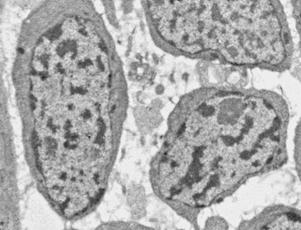
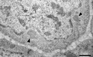
I neoblasti sono piccole cellule rotondeggianti, dal diametro medio di 8-10 µm, con ampio nucleo e scarso citoplasma indifferenziato ricco di ribosomi (Fig. 1.2), in cui sono riscontrabili accumuli di ribonucleoparticelle - mRNA associato a proteine -, detti corpi cromatoidi, che, si pensa, servano alla cellula come pronta risorsa di mRNA per una rapida risposta ad induzioni al differenziamento (Fig. 1.3).

Fig. 1.2: immagine al microscopio elettronico a trasmissione (TEM) di
neoblasti

Fig. 1.3: immagine al microscopio elettronico a trasmissione (TEM): le frecce indicano la presenza di corpi cromatoidi all'interno del citoplasma di un neoblasto
La distribuzione dei neoblasti è stata analizzata mediante tre principali metodiche sperimentali:
analisi dell'espressione di marcatori molecolari di proliferazione (come ad esempio DjMCM2 - Mini Chromosome Manteinance - Salvetti et al., 2000; DjPCNA - Proliferating Cell Nuclear Antigen - Orii et al., 2005) mediante esperimenti di ibridazione in situ;
saggi di incorporazione di BrdU (Newmark e Sanchez, 2000);
analisi di distribuzione delle mitosi (Baguñà, 1974; Newmark e Sanchez, 2000).
Dall'utilizzo di queste tre metodiche si evince che i neoblasti si ritrovano sparsi all'interno di tutto il parenchima, ad eccezione del faringe e della regione anteriore agli occhi, e accumulati in clusters disposti lungo due cordoni laterali dorsali. In Dugesia japonica i neoblasti si ritrovano anche accumulati lungo la linea mediana dorsale del corpo (Fig. 1.4 A-B).

Fig. 1.4: analisi
dell'espressione mediante ibridazione in situ whole mount (visione dorsale) (A)
e su sezione (B) con il marcatore molecolare di proliferazione DjMCM2

Per quanto riguarda la funzione dei neoblasti, queste cellule sono implicate nel turnover cellulare che garantisce una corretta omeostasi di tutto l'organismo, nei processi di crescita e decrescita corporea in risposta a stimoli esterni favorevoli o meno ed, infine, nella rigenerazione.
In seguito ad un trauma, come risposta immediata si ha una contrazione muscolare che permette l'avvicinamento dei lembi della ferita; la chiusura è quindi determinata da una migrazione delle cellule epiteliali ai margini del taglio e, successivamente, dal ripristino di una lamina basale sottostante l'epitelio. I neoblasti vanno a proliferare nel cosiddetto postblastema e la loro progenie, in via di differenziamento, migra andando a formare il blastema.
![]() |
| Appunti su: tesina la rigenerazione, planaria e cellule staminali, neoblasti, |
|